Shunts
Startseite Allgemeines Historie Anatomie Physiologie Graduierung Diagnostik Therapie häufige Fragen News Autor Literatur

 

Startseite
nach oben
hydrostatische Ventile
programmierbare Shunts
flowgesteuerte Shunts
Sonstige Ventilteile
Shuntkomplikationen

 

Was ist ein Shunt ?

Unter einem Shunt versteht man eine Einheit aus einem Silikonschlauch (lila, blau und grün dargestellt) und einem Ventil (rot in Abbildung). Meist werden aber die Begriffe Ventil und Shunt synonym verwendet, wenngleich dies auch rein vom Wort her nicht richtig ist.  Bei den verschiedenen Abschnitten der Silikon-Schläuche verwendet man z.T. spezielle Bezeichnungen für den jeweiligen Abschnitt:

Ventrikelkather (lila): Der Teil der durch das Gehirn in die Hirnwasserkammer reicht

Peritoneal / Kardial - Katheter (Bauch / Herz-Schlauch) (grün dargestellt): Der Schlauchanteil der in die Bauchhöhle oder die Venen vor dem Herzen reicht.

 

Die meisten Shunts haben zusätzlich noch eine so genannte Vorkammer (gelb dargestellt). Hierbei handelt es sich praktisch um nichts anderes als eine Aufweitung des Schlauches, die dazu dient, dass man nach der Shuntimplantation ohne operativen Eingriff direkt aus dem Shunt Hirnwasser entnehmen kann, bzw. den Hirndruck messen kann. Dem gleichen Zweck dienen Reservoirs, die in dem Bereich des Kopfes angebracht sind, wo der Shunt durch den Schädelknochen ins Schädelinnere vordringt. Diese Reservoire heißen meist Omaya oder Rickham Reservoir. 

Verschiedene Ventile haben noch eine so genannte Pumpkammer. Hier kann der Arzt das Ventil pumpen, d.h. durch manuelle Kompression rasch eine kleine Menge Liquor durch das Shuntsystem befördern. Dies dient in erster Linie der Funktionsprüfung des Shunts. In einigen Fälle soll man hiermit auch teilverstopfte Ventile wieder besser durchgängig machen können. Es müssen an diesem Punkt aber mehrere Dinge hervorgehoben werden: Das Pumpen des Ventils ist nur eine sehr grobe Möglichkeit die korrekte Funktion eines Shunts zu überprüfen, falsch positive oder negative Befunde sind hier keine Seltenheit. Zudem ist das Pumpen eines Ventils auch nicht ganz unkritisch zu sehen. Es kann dabei kurzfristig ein sehr hoher Sog im Shunt erzeugt werden, der dazu führt, dass Gewebe aus den Ventrikeln (Hirnwasserkammern) in den Shunt eingesogen werden und diesen verstopfen. Pumpen sollte also wirklich nur in ausgewählten Fällen erfolgen und von erfahrenen Neurochirurgen durchgeführt werden, da ansonsten eine irreversible Zerstörung des Ventils resultieren kann. An dieser Stelle sei ausdrücklich davor gewarnt, dass Patienten ihren Shunt selbst pumpen bzw. dies durch Angehörige / Eltern erfolgt.

 Das Ventil  regelt wieviel Liquor pro Zeiteinheit und ab welchem Druck abfließt.  Alle heute auf dem Weltmarkt vorhandenen Ventile sind rein mechanisch gesteuert. Dies heißt, wenn eine bestimmte den Öffnungsdruck des Ventils überschreitende Druckdifferenz über dem Shunt anliegt öffnet sich das Ventil. Die typischen Öffnungsdrücke von Ventilen liegen zwischen 3 und 20 cm H2O. Welcher Öffnungsdruck für den jeweiligen Patienten adäquat ist, kann durch bestimmte Untersuchungen, die vor der Shuntimplantation erfolgen zumindest näherungsweise eingegrenzt werden. Am häufigsten werden Öffnungsdrücke von 8 - 13 cm H2O gewählt.

Zudem hat ein Ventil eine weitere wichtige Funktion: es soll den Reflux verhindern. Hierunter versteht man, dass das Ventil verhindert, dass die Flüssigkeit im Shunt nicht zurückfließen kann. Im Extremfall z.B. bei einem Handstand konnte bei einem in die Venen drainierenden Shunt kein Blut aus den Venen in den Shunt zurückfließen und damit auch nicht in die Ventrikel, was sonst fatale Folgen haben könnte

Typischerweise wird bei einem Shuntsystem der "überschüssige Liquor" in ein weiteres Körperkompartiment abgeleitet. Dort wird der Liquor dann in die Blutbahn zurückresorbiert und gelangt damit letztendlich genau dort hin, wo bei jedem Gesunden auch hingelangt, wenn der Liquor auf natürlichem Wege resorbiert wird.

 

Die Operation

Der Shunt, das heißt die Gesamtheit des Schlauchsystems und des Ventils, werden in Vollnarkose unter der Haut verlegt. Sie kommen also im Unterhautfettgewebe zu liegen. Die Operation dauert in der Regel weniger als 1 Stunde. Mit speziellen Op-Instrumenten ist es möglich die Shunts minimal-invasiv zu verlegen. Es sind lediglich 3 - 4 kleine Hautschnitte notwendig.

Wo innerhalb des Shuntverlaufes das eigentliche Ventil implantiert wird ist bei der Mehrzahl der Ventil völlig egal. Schwerkraftventile müssen aber an einer Stelle implantiert werden, die repräsentativ für die Lage des Körpers im Raum ist. Als meist am besten geeignet erweist sich zu diesem Zweck eine Implantation des Ventils im Bereich der vorderen Brustwand. Auch eine Implantation am Schädel hinter dem Ohr ist möglich. Auch bei Anti-Siphon Ventilen kann der Implantationsort nicht beliebig gewählt werden. Diese müssen um korrekt zu funktionieren meist in Höhe der Schädelbasis implantiert werden

Da die Shuntsysteme sehr klein sind (Außendurchmesser der Schläuche: 2,3 mm; Außendurchmesser der Ventile unterschiedlich höchstens jedoch 5 - 6 mm) sind die Shunts oft gar nicht oder nur minimal zu sehen, keinesfalls aber kosmetisch störend.

Besondere Beschwerden machen Shunts nach ihrer Implantation nicht. Einige Patienten, die eine stärkere Narbenbildung haben, berichten manchmal über ein Spannungsgefühl unter der Haut, wenn sie den Kopf drehen.  

Röntgenbilder von Shunts und Computertomographien vom Schädel

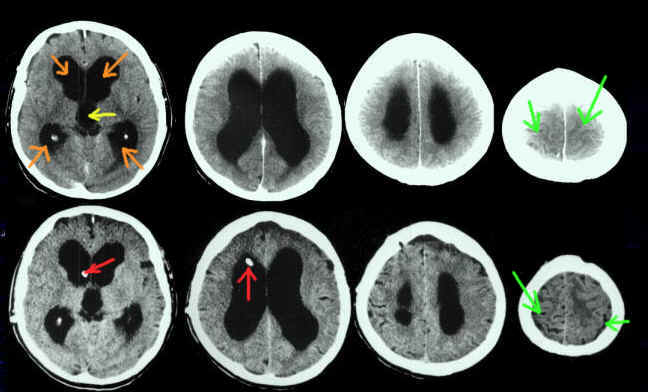
Die Abbildung zeigt eine Computertomographie (CCT) bei einem Patienten mit Normaldruckhydrocephalus: Die obere Bildreihe zeigt den Zustand vor Shuntanlage, die untere nach Shuntanlage. Die Schwarzen Flächen im Innern sind die Ventrikel (orangene Pfeile: Seitenventrikel im Großhirn; gelber Pfeil: III. Ventrikel im Zwischenhirn.

Auf den ersten Blick meint man, dass die Ventrikel vor und nach Shuntanlage (der Ventrikelkatheter des Shunts ist mit roten Pfeilen markiert) gleichgroß sind. Dies täuscht aber. Vermisst man die Ventrikel exakt, erkennt man, das sie etwas an Weite abgenommen haben. Darüberhinaus sieht man, dass die Hirnfurchen (grüne Pfeile) vor der Operation kaum zu sehen sind. Nach der Operation aber sind sie als schwarze Furchen an der Hirnoberfläche gut zu sehen.

MERKE: Eine suffiziente Therapie eines Hydrocephalus, - gleich mit welcher Operationsmodalität -, muß, um erfolgreich zu sein, nicht zu einer Normalisierung der Weite der Ventrikel führen. Vielmehr tritt dies nur bei Hydrocephaluserkrankungen ein, die nicht lange bestanden. Bei allen Formen des chronischen Hydrocephalus dagegen, ist durch die Erkrankung Hirngewebe untergegangen, das um die Ventrikel lag. Es ist klar, dass dieses auch nach Anlage eine Shunts nicht zurückkehrt und daher die Ventrikel weiter bleiben als es ohne diese Erkrankung sein sollte. Die Therapie des Hydrocephalus kann nur das Hirngewebe bewahren, das noch vorhanden ist.

 

Diese beiden Abbildungen zeigen typische Lokalisationen von Ventilen am Körper: Links eine Röntgenaufnahme des Hinterhaupts. Der rote Pfeil markiert ein einstellbares Codmann-Hakim Ventil, das wenige Zentimeter oberhalb der Ohrspitze lokalisiert ist. Der gelbe Pfeil zeigt einen Miethke Shunt-Assistent der in Hohe des Ohransatzes etwa 3 - 4 cm hinter dem Ohr implantiert ist. Beide Implantate liegen außen auf dem Schädelknochen unter der Haut.

Die rechte Abbildung zeigt ein Miethke Dual-Switch Ventil, das an der vorderen Brustwand im Unterhautfettgewebe implantiert wurde (roter Pfeil). Mit ewtas Phantasie können Sie auch die Schläuche, die vom Ventil abgehen (mit blauen Pfeilen markiert) erkennen.  

 

 

Wie funktioniert ein Shunt ?

Diese Abbildung illustriert das Funktionsprinzip eines Shunts: Der in den Hirnwasserkammern herrschende Druck errechnet sich als: IVD = IP + OD - HP

Wie ist dies zu verstehen ?

Liquor fließt immer dann ab, wenn der Druck im Kopf höher ist als der Druck im Bauch + der Öffnungsdruck des Ventils. Mit anderen Worten: Neben dem Ventil ist auch der Druck der Körperhöhle wohin der Liquor abgeleitet wird von entscheidender Bedeutung. Bei einer schlanken Person ist der Druck im Bauch in etwa so hoch wie der Atmosphärendruck, kann also in o.g. Formel mit "0" gleichgesetzt werden. Bei stark übergewichtigen Patienten kann aber der Bauchraumdruck deutlich ansteigen und erreicht z.T. Werte bis zu 40 cm Wassersäule. Dies ist fast zweimal so viel, wie der höchste Öffnungsdruck der meisten Ventile. 

Beispiel:

schlanke Person Übergewichtige Person
Öffnungsdruck des Ventils: 10 cm H2O Öffnungsdruck des Ventils: 10 cm H2O
Bauchraumdruck: 0 cm H2O Bauchraumdruck: 40 cm H2O
resultierender Druck im Kopf: 10 cm H2O resultierender Druck im Kopf: 50 cm H2O

Das Beispiel zeigt, dass sich trotz der Tatsache, dass angenommen wird man habe exakt das selbe Ventil verwendet, völlig andere Druckwerte für den Hirndruck ergeben: Während Hirndruckwerte von 10 cm H2O absolut normal sind, ist ein Hirndruck von 50 cm H2O hochgradig krankhaft. 

Was ergibt sich hieraus ?

In einigen Fällen ist es bei sehr übergewichtigen Patienten unmöglich einen Shunt im Bauchraum enden zu lassen, da trotz normaler Shuntfunktion niemals ein normaler Hirndruck zu erzielen ist. Bei diesen Patienten würde man primär einen in den Venen vor dem Herzen endenden Shunt implantieren, um dieses Problem des Bauchraumdrucks zu umgehen. Eine weitere Konsequenz ist, dass sich bei einem zum Zeitpunkt der Shuntimplantation schlanken Menschen, der im späteren Verlauf deutlich an Gewicht zunimmt, der anfangs normale Hirndruck wieder krankhafte Werte annehmen kann. Die Patienten würden quasi parallel zu ihrer Gewichtszunahme ein Wiederauftreten ihrer Beschwerden bemerken, ohne dass hier eine Shuntfehlfunktion vorliegt.

Etwas ähnliches gibt es auch bei Patienten, deren Shunt vor dem Herzen endet. Bei einer normalen Herzfunktion ist der Druck in den Venen vor dem Herzen im Bereich von - 5 bis + 10 cm H2O. Entwickelt sich eine Herzschwäche oder bei einer Fehlfunktion einer Herzklappe kann dieser Druck jedoch auch deutlich ansteigen und gleichlautend auch der resultierende Druck im Kopf. Insbesondere bei älteren Patienten mit Shunt muß dieses Problem bedacht werden, wenn sich klinisch wieder Beschwerden seitens des Hydrocephalus bemerkbar machen. Auch hier ist dann nicht der Shunt das Problem sondern die Herzerkrankung und somit muß auch diese primär behandelt werden.

Die bisherigen Betrachtungen hatten eine Sache außer Acht gelassen, nämlich, dass ein Mensch nicht immer liegt, sondern vielmehr alle möglichen Körperhaltungen zwischen flachem Liegen uns senkrechtem Stehen einnehmen kann. Hieraus ergibt sich eine ganz erhebliche Konsequenz: Im Liegen besteht kaum eine Höhendifferenz zwischen Ventrikel und Bachhöhle. Um zu verstehen, was passiert, wenn ein Mensch sich vom Liegen in stehende Position begibt, sollte man sich zwei Wasserbecken vorstellen, die über einen Schlauch miteinander verbunden sind. Im Liegen sind diese Wasserbecken auf gleich Höhe, im Stehen dagegen, kommt das Wasserbecken im Kopf etwa 50 cm höher als das Wasserbecken der Bauchhöhle. Es ist unschwer daraus abzuleiten, was dann passieren wird. Das Wasserbecken, das für den Kopf steht wird komplett leer laufen. Nicht ganz so drastisch, aber ähnlich kann man sich vorstellen verhält es sich auch bei Patienten mit Ventil. Die Höhendifferenz der beiden Wasserbecken bezeichnet man als hydrostatischen Druck. 

Auch hierzu wieder ein Beispiel:

liegender Patient stehender Patient
Bauchraumdruck: 0 cm H2O Bauchraumdruck: 0 cm H2O
Ventilöffnungsdruck: 10 cm H2O Ventilöffnungsdruck: 10 cm H2O
Hydrostatischer Druck: 0 cm H2O Hydrostatischer Druck: 50 cm H2O
resultierender Hirndruck: 10 cm H2O resultierender Hirndruck: - 40 cm H2O

Man sieht, dass der Beispielpatient im liegen einen völlig normalen Hirndruck hat, im Stehen aber einen höchst auffälligen, krankhaften Wert von - 40 cm (normal bis maximal - 10 cm ) H2O bietet. 

Das Problem des zu hohen Hirndrucks wurde somit zwar gelöst von dem Ventil, aber es tritt ein neues auf: Der Hirndruck ist jetzt deutlich zu tief. Dies kann in Einzelfällen bedrohlich Folgen haben. In der Mehrzahl der Fälle treten aber nur lästige klinische Beschwerden (die denen des zu hohen Hirndrucks sehr ähneln) auf. Diese rein aus physikalischen Gründen zwangsläufig entstehende Problematik bezeichnet man als Überdrainage. Die Wahrscheinlichkeit, dass ein Patient derartige Probleme entwickelt wird in der Literatur mit sehr unterschiedlichen Zahlenwerten angegeben. Im Schnitt kann man aber sagen, dass meist Zahlen um 20% erwähnt werden.

Aber wieso entwickelt nicht jeder Patient eine Überdrainage ?

Diese Frage ist mehr als berechtigt. Rein physikalisch gesehen müßte in der Tat jeder Patient eine Überdrainage entwickeln. Der Körper hat jedoch einige Mechanismen, mit denen er dieses Phänomen in begrenztem Umfang kompensieren kann. Dennoch stellte die Überdrainage ein seit Anbeginn der modernen Shunttherapie bekanntes Problem bei der Behandlung des Hydrocephalus mit Ventilen dar. Um dieses Problem zu lösen, sind in den letzten 50 Jahren enorm viele, leider häufig in der Praxis untaugliche Konstruktionsveränderungen an Ventilen vorgenommen worden. 

Das Problem Überdrainage zu verstehen, mag nicht jedem leicht fallen. Wesentlich ist aber, dass Sie verstanden haben, dass ein Ventil "nicht nur dann aufmacht", wenn der Druck im Kopf zu hoch ist. Vielmehr sind es viele physikalische Einflußgrößen, die auf die Funktion eines Ventiles Einfluß nehmen.

Wichtig an diesem Punkt ist jedoch eines zu wissen: Es gibt leider bisher kein "intelligentes" Shuntsystem, dass nur dann den Abfluß von Liquor zuläßt, wenn der Hirndruck zu hoch ist. 

 

Wohin wird der Liquor abgeleitet ?

 

International bevorzugt man heute als Ableitungsort der ersten Wahl die Bauchhöhle.Der Silikonschlauch wird dabei nicht in eine Organ des Körpers wie zum Bespiel den Magen oder Darm abgeleitet, sondern der Schlauch liegt lediglich in der freien Bauchhöhle zwischen den im Bauch befindlichen Organen.

 Eine weitere Ableitungsmöglichkeit besteht in der Ableitung des Liquors in die großen Venen vor dem Herzen. Die Ableitung in die Venen war früher an einigen Zentren bevorzug worden. Es zeigte sich jedoch jüngst, dass die Wahrscheinlichkeit für den Eintritt von Komplikationen bei der Ableitung in die Venen genauso hoch ist, wie bei der Ableitung in den Bauchraum. Vergleicht man aber die Schwere der Komplikationen, so zeigt sich, dass diese bei einer Ableitung in die Venen höher ist, als in den Bauchraum. Daher setzte sich jetzt allgemein durch primär den Shunt zur Bauchhöhle abzuleiten.

Die geführtsten Komplikationen bei einer Ableitung des Liquors in die Venen sind: die Shuntinfektion und die Thrombenbildung am Katheter. Liegt ein Silikonschlauch in einer Vene, so besteht immer wenn sich Bakterien im Blut befinden die Gefahr, dass sich diese am Katheter anlagern können und dann dort verbleiben. Meist ist es dann nicht mehr möglich diesen Bakterienherd mit Antibiotika zu sanieren. In der Regel muß dann der gesamte Shunt entfernt werden und ein neuer wird zu einem späteren Zeitpunkt, wenn die Infektion sicher abgeklungen ist wieder implantiert. Daher muß man heute empfehlen, dass ein Patient der einen Shunt hat, der in die Venen abgeleitet wird bei jedem Ereigniss, wo man mit dem Eindringen von Keimen in die Blutbahn rechnen muß (banale grippale Infekte, (zahn-) ärztliche / chirurgische Eingriffe) mit Antibiotika vorbehandelt wird, um Bakterien, die bei dem Eingriff in die Blutbahn gelangen könnten direkt abzutöten, bevor diese die Chance haben sich am Katheter anzulagern. 

 

Verschiedene Ventil- Typen

Basierend auf den zwischen 1949 und 1960 entwickelten 4 Grund-Typen von Hydrocephalus Shunts wurden bis zum Jahr 2000 über 200 verschiedene Ventilkonstruktionen entwickelt. Etwa 130 verschiedene Ventile werden zur Zeit auf dem Weltmarkt angeboten. Da fast jede dieser Konstruktionen auch mit verschiedenen Öffnungsdrücken verfügbar ist, kann der Neurochirurg heute zwischen ca. 450 verschiedenen Ventilen wählen. Etwa 70 Konstruktionen befinden sich noch im Prototypen Stadium oder wurden wegen Mängel bereits wieder vom Markt genommen.

 

Kugel- Konus Ventil

Bei diesem Ventil verschließt eine Kugel die Liquorpassage durch das Ventil. Die Kugel wird dabei von einer Feder (im Bild Blattfeder) in einen Metallkonus gepreßt. Die Kraft mit der die Feder die Kugel in den Konus preßt, bestimmt den Öffnungsdruck des Ventils. Ist die Druckdifferenz über die Ventilenden höher als der Anpreßdruck der Feder, so öffnet sich das Ventil. Diese Ventilkonstruktionen arbeiten in der Regel sehr präzise. Es wundert daher nicht, dass bei Ventiltestungen im Labor dieser Konstruktionstyp häufig sehr gut abschneidet.

Cordis Hakim Standard Ventil

Diese Abbildung zeigt das Funktionsprinzip eines Kugel-Konus Ventils: Eine rot dargestellte Blattfeder preßt eine grün dargestellte Kugel in einen Konus (grau mit weißem Rand) 

 

 

 

Membranventile

Heyer-Schulte Ventil

Diese Abbildung zeigt ein Membranventil. Als Membran bezeichnet man die in der Abbildung rot dargestellte Bauteil. Diese Membran besteht aus Silikon und sie ist sehr flexibel und leicht zu deformieren. Im geschlossenen Zustand des Ventils steht die Membran in der rot dargestellten Position. Sie stoßt dabei an ein blau dargestelltes Bauteil, das aus einem nicht flexiblen Material (meist Hartplastik) besteht. Durch diese Position der Membran an dem Hartplastik wird der Liquordurchfluß gestoppt.Besteht jedoch auf die Membran ein bestimmter Druck, so deformiert sie sich (wie durch die grünen Punkte angegeben) und laßt den Liquor passieren. Die Flexibilität und die Vorspannung der Membran sind somit im wesentlichen verantwortlich für den Öffnungsdruck des Ventils.

Ein Nachteil, den diese Funktionsweise mit sich bringt, geht auf den so genannten "Silikon-Memorie" Effekt zurück. Das Silikon, aus dem die Membran hergestellt wurde, behält über die Zeit nicht die physikalischen Eigenschaften vom Anfang. Wird die Membran mehrmals, - entsprechend normalen Funktion des Ventils -, verformt, so kommt sie nicht wieder in ihre ursprüngliche Form zurück. Die physikalischen Kenngrößen des Ventils müssen sich also mit der Zeit verändern. Es hängt sehr von dem verwendeten Silikon Grundstoff ab, wie ausgeprägt und schnell der Silikon-Memorie Effekt zum Tragen kommt.

 

 

 

Schlitz-Ventile (proximal / distal)

Codman Raimondi Unishunt

 

 

 

Codman Denver  Ventil

Diese Abbildung zeigt die zwei Grundtypen der Schlitzventile: Das obere Bild zeigt ein distales Schlitz-Ventil, das untere ein proximales. Der Unterschied "proximal - distal" gibt lediglich an, wo im Gesamtverlauf des Shunts der eigentliche Ventilmechanismus sitzt. Mit proximal meint man eine im oberen Teil des Shunts gelegene Lokalisation mit distal eine am unmittelbaren Ende des Shunts.

Das dargestellte distale Schlitz-Ventil wird durch einen Silikon-Schlauch gebildet bei dem knapp vor dessen untrem Ende sich in der Seite Einschnitte in das Silikon befinden. Liegt kein hoher Druck an, so sind die Lippen dieses Silikonschlitzes fest aneinanderliegend (rot dargestellter Bereich): das Ventil ist geschlossen. Bei einer Druckerhöhung öffnet sich der Schlitz. Die Lippen des Silikonschlitzes treten auseinander und geben damit eine Öffnung frei durch die der Liquor austreten kann. Wiederum sind es die Materialeigenschaften des Silikones selbst, die den Öffnungsdruck des Ventiles ganz wesentlich mitbestimmen nebst Größe und Anzahl der Schlitze.

Das dargestellte proximale Schlitz Ventil hat als wesentliche Funktionseinheit eine (rot dargestellte) vorgewölbte Silikonmembran, die ebenfalls wieder eine Schlitz aufweist. Die Funktionsweise ist analog der des distalen Schlitz Ventils.

Bei den Schlitzventilen gibt es noch eine Unterscheidung gemäß der Bauart des Schlitzes: es gibt einfache (lineare Schlitze) oder Kreuzschlitze sowie einen schnabelartigen Aufbau. Hinsichtlich der eigentlichen Funktion und der Bewertung dieser Ventile ist dies jedoch unerheblich.  

Bei Schlitzventilen kommt der Silikon-Memorie Effekt ebenfalls sehr stark zum tragen. Zudem liegt es in der Natur der Konstruktion, dass sie wegen der sehr kleinen Öffnungen, die zur Liquorpassage zur Verfügung stehen, leicht verstopfen können.

 

Zusammenfassend kann man sagen, dass aus rein technischer Sicht, die Kugel-Konus Ventile zumindest auf dem Labortisch die exaktesten physikalisch definierten  Eigenschaften (insbesondere Öffnungsdruck, Hystereseverhalten) aufweisen. 

 

Es gibt zur Zeit:

13 verschiedene Kugel-Konus Ventile
ca. 40 verschiedene Membran -Ventile
24 verschiedene proximale Schlitzventile
30 verschiedene distale Schlitzventile

 

Die Abbildung zeigt nochmals in der Übersicht die verschiedenen Ventiltypen in ihrer Funktion: 

links oben: einfaches Schlitzventil;

 rechts oben: "Schnabel"-Schlitz Ventil; 

links unten: Membran Ventil;

rechts unten: Kugel-Konus Ventil

Technisch gesehen handelt es sich bei allen um Differentialdruck-Ventile

 

Bewertung der konventionellen Ventile

Alle bisher dargestellten Ventile leiten sich von den vier Grundtypen, die in den 50er Jahren entwickelten, ab. Bereits sehr früh war klar, dass mit diesen Ventilen dem Hydrocephalus zwar der Schrecken genommen war, da erstmals eine effektive Behandlung möglich war. Genau so früh war aber auch klar, dass diese Ventile das Problem hatten, dass die Verhaltensweise der Ventile völlig unabhängig davon war, wie der Körper im Raum ausgerichtet war. Aus diesem Grund müssen diese Ventile zwangsläufig alle beim stehenden Menschen zu einer überschießenden Liquordrainage führen (Überdrainage genannt). Dieses Problem ist nach der Physik dieser Ventile unvermeidlich. Da durch die Überdrainage z.T. erhebliche Komplikationen entstehen können, müssen diese Ventil, wenn sie ohne Zusatzventile implantiert werden, als veraltert bezeichnet werden. Werden sie jedoch zusammen mit einem die Überdrainage verhindernden Zusatzventil kombiniert, so können diese Ventile auch heute noch verwendet werden. In wenigen Fällen ist es aber auch möglich diese "alten" Ventile alleine zu verwenden. Dies gilt aber nur für Patienten, die keinen chronischen Hydrocephalus haben.

 

Neben diesen vorgenannten vier Grundtypen von Ventilen wurden seit den 70er Jahren zunehmend weitere Shunttechnologien entwickelt. Ziel dieser Entwicklung war es das Problems der Überdrainage in den Griff zu bekommen. Es wurden hierbei 4 verschiedene Wege beschritten

Einstellbare Ventile
Selbst-einstellende Ventile
Anti-Siphon Ventile
Gravitationsgesteuerte Ventile (Schwerkraft (- gesteuerte) Ventile)

 

Antisiphon-Ventile und gravitationsgesteuerte Ventile werden als Gruppe unter dem Sammelbegriff der Hydrostatischen Ventile zusammengefaßt.

 

 

 

Was ist zur Zeit das beste Ventil ?

 

Dies ist sicher die "Gretchenfrage" schlechthin. Alleine aufgrund der Tatsache, dass am Weltmarkt über 100 verschiedene Shuntdesigns angeboten werden, wird klar, dass es hierfür auch Käufer geben muß, sonst wären eine Vielzahl von Shunts längst vom Markt verschwunden. Mit anderen Worten: Diese Frage zu beantworten heißt auch, dass hier subjektive Einschätzungen und eigene Erfahrungswerte mit einfließen. Andere Neurochirurgen mögen andere Erfahrungen gemacht haben und daher andere Ventile bevorzugen und damit genau so viel Recht haben wie meine Wenigkeit.

Eines vorweg: DAS Ventil schlechthin gibt es bis dato nicht. Alle hier empfohlenen Ventile stellen lediglich meines Erachtens nach zur Zeit den besten aller Kompromissmöglichkeiten dar. Auch konnten bisher nur sehr wenige Studien nachweisen, dass das eine oder andere Ventil offensichtlich bessere Resultate erzielt als das andere. Meist waren es nur Teilaspekte, die ein Ventil besser beherrschte als das andere; dafür bot es aber an anderer Stelle Schwächen. Die eingehende Diskussion von Schwächen und Stärken verschiedener Ventile werden an entsprechender Stelle gemacht und sollen daher hier nicht nochmals aufgeführt werden. Zum besseren Verständnis der hier gemachten Aussage sollten diese Seiten auch gelesen werden.

 

Nun aber zur Sache:

Es ist oben bereits angeklungen, dass das Problem der Überdrainage von Anbeginn der Ventiltechnologie innewohnte und die hauptsächliche Triebfeder zur Entwicklung neuer Ventile war.  Nimmt man alle Fakten zusammen, die im Moment wissenschaftlich abgesichert sind, so ergibt sich folgendes Bild:

Die Schwerkraft-Ventile scheinen tatsächlich eine leichte Überlegenheit gegenüber anderen Designs zu haben. Das Problem der Überdrainage wird sehr suffizient damit gelöst und im Gegensatz zu selbst-einstellenden, flow gesteuerten Ventilen ist die Gefahr der zu geringen Drainage insbesondere während der Nacht bei vasogenen Hirndruckspitzen, nicht gegeben.

Persönliche Erfahrungen mit Schwerkraft Ventilen habe ich seit mehr als 6 Jahren und ich bin immer noch von dem technischen Konzept überzeugt. Die von mir am häufigsten verwandten Shunts sind das Miethke Dual-Switch Ventil und eine Kombination aus 2 Ventiluntereinheiten: einstellbares Codman Ventil zusammen mit Miethke Shunt-Assistent als gravitationsgesteuerter Bestandteil dieser Ventilkonfiguration.

Bei Kleinkindern und Säuglingen hat sich das Miethke PAEDI-GAV bislang als sehr gute Therapieoption erwiesen. Neben der Tatsache, dass es sich hierbei auch um eine Schwerkraft Ventil handelt ist vor allem seine winzige Baugröße von besonderem Vorteil. Gerade bei Säuglingen oder gar Frühgeborenen ist die Haut unheimlich dünn. Die normalen Kinder Ventile sind zwar auch hinsichtlich ihrer Baugröße reduziert, aber bei weitem nicht in dem Ausmaß wie das PAEDI-GAV. Über größeren Ventilen spannt sich oft die Haut der Neugeborenen derart, dass die Hautdurchblutung lokal leidet. Daher kommt es hin und wieder vor, dass die Haut über dem Ventil nekrotisch wird und dies eine Shuntrevision erforderlich macht. Dieses Problem ist beim PAEDI praktisch gelöst. Der Außendurchmesser dieses Ventils beträgt mit 2,5 mm nur wenig mehr als der Durchmesser der Schläuche. Die Befürchtung, dass ein derart miniaturisiertes Ventil eine höhere Neigung zur Verstopfung haben könnte, ist nicht haltbar. Hierzu muß man die Konstruktionspläne der einzelnen Ventile gesehen haben. Sehr viele wesentlich größere Ventile haben zum Zwecke der Flußreduktion sehr enge Stellen, die vom Liquor passiert werden müssen. Eiweiße, die sich immer im Liquor finden, können sich mit der Zeit an diesen oft nur wenige Mikrometer engen Schlitzen ablagern, um irgendwann, den Liquordurchfluß durch das Ventil völlig zu unterbinden. Verglichen hiermit sind die Engstellen des PAEDI geradezu riesig, betragen sie doch etwas mehr als 1 mm.