Diagnostik
Startseite Allgemeines Historie Anatomie Physiologie Graduierung Diagnostik Therapie häufige Fragen News Autor Literatur

 

Startseite
Hirndruckmessung
andere Diagnostik
Protokoll

Diagnostik

Eine allgemein akzeptierte Diagnostik (d.h. welche diagnostischen Maßnahmen ein Muss sind und ggf. fakultativ noch zu ergänzen sind) gibt es bis dato nicht. Allerdings haben sich in den letzten Jahren im Rahmen der Erstellung von internationalen Leitlinien zum Management des Hydrocephalus doch zunehmend Verfahren herauskristallisiert, die bei bestimmten Formen des (chronischen) Hydrocephalus doch offensichtlich die diagnostische Sicherheit erhöhen und damit eher die Voraussage erlauben, ob ein Hydrocephalus therapiebedürftig ist oder nicht (siehe dazu Protokoll). Kurz gesagt, sind es aus dem Kreis der Zusatzuntersuchungen die Messung des Liquorabflusswiderstand und spinal tap Test, die offensichtlich recht hilfreich sind bei der Entscheidung: Hydrocephalustherapie sinnvoll und notwendig oder nicht.

Lesen Sie sich jedoch die einzelnen Verfahren durch so stellen Sie fest, dass gerade hinsichtlich des Liquorabflußwiderstandes und der Dauerhirndruckmessung mehr Fragen offen sind als beantwortet. ... und auch beim spinal tap Test: was ist nun eine klinische Verbesserung, die indikativ ist, dass ein Patienten vom Shunt profitiert. Die Frage ist unbeantwortet, es gibt hier keinerlei Richtlinien, die dem jeweiligen Arzt helfen könnten. Trotz aller Unsicherheit scheint es aber so, dass man mittels der beiden erwähnten Zusatzuntersuchungen, die Wahrscheinlichkeit der richtigen Diagnose auf etwa 80 - 90% steigern kann und somit schon ein Unterschied zu Basisdiagnostik, womit eine richtige Diagnosefindung wohl in 50 - 60% d.F. gelingt, besteht. Diese Angaben beziehen sich vor allem auf den so genannten Normaldruckhydrocephalus älterer Menschen. Andere Hydrocephalusformen sind oft wesentlich unproblematisch und mit weit über 95%iger Sicherheit zu diagnostizieren und zwar alleine durch die Basisdiagnostik Anamnese / klinischer Befund und moderne bildgebende Verfahren. 

Also bitte nicht beim Durchlesen den Eindruck gewinnen, dass Hydrocephalusdiagnostik mehr oder weniger einem Würfelspiel entspricht. Dort wo auf noch offene Fragen hinsichtlich der Einordnung der Befunde hingewiesen wird, sind meist die Patienten gemeint, die sowohl einen "Altershydrocephalus" wie auch eine sonstige Systemerkrankung des Hirns haben, wodurch Hirngewebe untergeht (z.B. Durchblutungsstörung, M.Alzheimer usw.) Bei diesem Patientengut wirklich die richtige Entscheidung zu treffen, ob ein Shunt von Vorteil ist oder nicht, ist heute auch mit der dargestellten Zusatzdiagnostik oft noch nicht ganz zweifelsfrei möglich. Aber wie gesagt.... das sind nur ganz bestimmte Patienten, in der Mehrzahl dagegen ist die Situation meist schon auf den ersten Blick klar....

 

Basisdiagnostik

im Zentrum der Diagnostik muss jedoch nach wie vor der klinische Befund bei der körperlichen Untersuchung und die Anamnese gesehen werden. Rein vom CT / MRI Bild her können zwar Vermutungen geäußert werden. Die klinische Relevanz ergibt sich aber nur aus den beim Patienten anzutreffenden klinischen Befunden.  

Bildgebende Verfahren (Computertomographie, Kernspintomographie, Ultraschall bei Kindern)

Die bildgebenden Verfahren wie Kernspintomographie (MRI), Computertomographie (CT) und bei Säuglingen und Kleinkindern auch Ultraschalluntersuchungen stellen heute nach Anamnese und klinischem Befund die Haupt-Säule der Hydrocephalusdiagnostik dar. Klassische Befunde sind bei der Beschreibung der einzelnen Unterformen des Hydrocephalus dargestellt.

Allgemein gesagt, sollte aber typischerweise ein Missverhältnis der Weite der inneren (Ventrikel) und äußeren Liquorräume bestehen. Die inneren Liquorräume sind weit, die äußeren eng. Dies wäre typisch. Je nach Unterform des Hydrocephalus, kann es aber sein, dass lediglich die vertexnahen (also die direkt unter dem Schädeldach liegenden) äußeren Liquorräume eng sind.

Ideal ist es eine Kernspintomographie zu haben, da hier einerseits teilweise die Ursache des Hydrocephalus unmittelbar zu sehen ist und auch Therapiealternativen damit besser abgewogen werden können. 

Der größte Vorteil der MRI ist aber, dass man gerade beim älteren Menschen, wo neben dem Hydrocephalus ggf. noch andere Erkrankungen bestehen können (Hirndurchblutungsstörungen, Hirnabbau-Erkrankungen anderer Art). Teilweise können diese mit dem MRI bereits visualisiert werden und damit auch besser abgeschätzt werden, ob eine Therapie für den Patienten sinnvoll erscheint oder aber der Hydrocephalus eher einen "Nebenkriegsschauplatz" darstellt.

Zur Sicherung einer Anfangsdiagnose, die sich aus Anamnese und körperlichem Befund ergibt, reicht jedoch zunächst eine CT-Untersuchung völlig aus. Über weitere Vor- und Nachteile von CT- und MRI soll aber an dieser Stelle nicht noch weiter diskutiert werden.

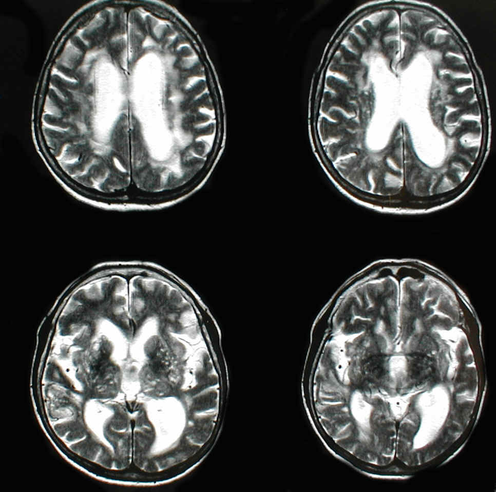
Das oben dargestellt MRI ist ein gutes Beispiel, welche Hilfe ein MRI bei der Beurteilung des weiteren Vorgehens und bei der Beratung des Patienten sein kann: Zwar sieht man schon eine Diskrepanz der Weite der inneren und äußeren Liquorräume, sodass grundsätzlich die Verdachtsdiagnoste Hydrocephalus im Raume steht. Man sieht aber auch Veränderungen in der Hirnsubstanz selbst, die auf eine zusätzliche Hirnerkrankung, nämlich eine schwere Hirndurchblutungsstörung in diesem Falle hindeuten. Mit dieser Klarheit ist dies mit einem CT kaum zu erkennen. Als unabdingbare Forderung zur Diagnose eines Hydrocephalus gilt, dass der Evans Index (bestimmtes Messverfahren zur Ermittlung der Ventrikelweite > 0,3 sein muss.

Es gibt Neurochirurgen, die bei typischer Anamnese, klinischem Befund und typischen Veränderungen im CT oder MRI keine weiteren Untersuchungen für notwendig erachten. Hier gehen die Meinungen aber auch international weit auseinander. Einige fordern obligat weitere Zusatzuntersuchungen andere halten sie nur für notwendig, wenn ihnen die Befunden noch zu unsicher erscheinen.

Fakt ist aber, dass mittels der genannten Basisdiagnostik "Bildgebung und klinischer Befund" nur eine Voraussagewahrscheinlichkeit von etwa 50 % für eine erfolgreiche Therapie des Hydrocephalus zu erzielen ist. Dies gilt natürlich nicht, wenn die Bildgebung zweifelsfrei belegt, dass z.B. der Liquorabflußweg durch z.B. einen Tumor komplett verlegt wird oder andere absolut eindeutige Befunde keinen Zweifel an der Liquorzirkulationsstörung aufkommen lassen. 

Die nachfolgend aufgeführten Verfahren dienen der weiteren Absicherung dieser Verdachtsdiagnose in Zweifelsfällen.  

 

Zusatzdiagnostik

Spinal Tap Test

Beim Spinal tap Test will man praktisch die Implantation eines Hydrocephalus-Ventils simulieren. Er wird an verschiedenen Zentren unterschiedlich durchgeführt. Entweder werden eine oder mehrere Lumbalpunktionen (Entnahme vom Liquor über den Wirbelkanal im Bereich der Lendenwirbelsäule) durchgeführt. Es sollten dabei ca. 30 - 60 ml Liquor entnommen werden. Alternativ legen andere Zentren lumbal einen Liquordauerkatheter (dünnes weiches Plastikröhrchen) und drainieren damit kontrolliert über 3 Tage hinweg täglich jeweils ca. 100 - 150 ml Liquor. Gemäß Literatur scheint die letztgenannte Methode der Liquordauerdrainage eine höhere Wahrscheinlichkeit des korrekten Vorausagens, ob ein Patient einen Shunt benötigt oder nicht, zu bieten, als die Durchführung von einzelnen Lumbalpunktionen. Auch scheint es so, dass eine einzige Lumbalpunktion oft kaum ausreicht, um eine korrekte Diagnose zu stellen. Minimal sollte also bei Anwendung des Spinal tap Tests zur Diagnosesicherung mehrfach lumbalpunktiert werden, ideal ist die Liquordauerdrainage mittels Katheter. Mit dieser Methode kann mit einer Wahrscheinlichkeit von ca. 80% korrekt beurteilt werden, ob die Anlage eines Shunts notwendig ist. Man überprüft nach der Liquordrainage jeweils, ob eine klinische Besserung des Patienten eingetreten ist. Idealerweise sollten hierzu standardisierte Verfahren zur Messung der Gehfähigkeit und der Gedächtnisleistung verwendet werden.

Vorrausetzung zur Durchführung ist aber, dass der gesamte Liquor von Spinalkanal und der im Schädelinnern (sowohl Ventrikel wie auch äußere Liquorräume) frei kommunizieren kann. Demnach ist die Anwendung dieser Methode bei allen Formen des Okklusionshydrocephalus nicht angezeigt, sondern vielmehr sogar kontraindiziert.  

Bestimmung der Resistance to outflow (ROF)

Was für ein Wortungeheuer......, auf deutsch Messung des Abflusswiderstandes des Liquors.

Was ist damit gemeint ?

Es ist heute mittels verschiedener Tests (Bolustest, Infusionstest) möglich zu ermitteln, wieviel Liquor ein Patient pro Minute zu resorbieren (Wiederaufnehmen in das venöse Blut) in der Lage ist. Grob betrachtet gleichen sich die Tests, die in den letzten 30 Jahren entwickelt wurden. Es wird eine definierte Menge künstlichen Liquors in das Liquorsystem gegeben. Der Zugang hierzu kann dabei über den lumbalen Spinalkanal per Lumbalpunktion oder über eine Ventrikelsonde (dünner Silikonschlauch im Seitenventrikel) erfolgen. Die Art des Zugangs ist dabei mitunter abhängig vom gewählten Testverfahren, der Art des Hydrocephalus und den spezifischen Erfahrungen des jeweiligen Zentrums.

Auch die verwendeten Tests sind im Detail betrachtet durchaus unterschiedlich, während beim Bolustest eine kleine Liquormenge (bis ca. 5 ml) innerhalb einer Sekunde gespritzt wird, wird beim Infusionstest über einen Zeitraum von 10 - 30 min künstlicher Liquor mit hochpräzisen Infusionspumpen in einer Menge von 0,5 - 2 ml / Minute zugeführt. Es wird dann jeweils ermittelt wie hoch der Hirndruck steigt und wie schnell er wieder abfällt. Bei anderen Formen des Infusionstests werden bestimmte Hirndruckniveaus durch Infusion künstlichen Liquors angestrebt und dann ermittelt wieviel künstlichen Liquor man pro Zeiteinheit hinzufügen muss, um das Druckniveau zu halten. Über z.T. komplizierte mathematische Verfahren wird dann schließlich die ROF errechnet.

Zwischenzeitlich scheint klar, dass die ROF stark vom herrschenden Hirndruck abhängt. Die verschiedenen Experten kamen aber bisher zu unterschiedlichen Ergebnissen. Eine Gruppe fand, dass mit steigendem Hirndruck auch die ROF linear abfällt. Eigene Untersuchungen ergaben, dass dies möglicherweise nur bis zu einem Hirndruck von 25 bis 30 mm Hg richtig ist. Bei höheren Hirndrücken scheint dagegen die ROF wieder anzusteigen. Letztlich wichtig ist eines dabei: Der Wert ROF ist Hirndruck-abhängig.

Für die Praxis bedeutet dies, dass man Test bevorzugen sollte, die es erlauben den ROF Wert bei unterschiedlichen Hirndruckniveaus zu ermitteln. Dies erlauben verschiedene Verfahren z.B. der Bolus-Test, die so genannten "constant-volume" Infusions- / Perfusionstest-Verfahren oder aber auch der von uns bevorzugte Dynamische Infusionstest nach U.Meier (Berlin), der vom Grundsatz her ein "constant-volume" Infusionstest ist. Gemäß Literatur scheinen die ermittelten ROF-Werte bei Anwendung des Bolustests systematisch etwas niedriger zu sein als bei Infusionstests. Auch scheinen die Ergebnisse des Bolustests etwas stärker schwankend zu sein und damit etwas unsicher in ihrer Aussagekraft als die Ergebnisse bei Infusionstests. Hier ist aber sicher noch nicht aller Tage Abend: vielmehr erfolgt bezüglich dieser Testverfahren z.Zt. sehr viel Forschung z.B. mit der Frage, welches Verfahren wohl das beste sein könnte.

Unsicherheit herrscht auch hinsichtlich der Frage des Normalwertes der ROF. Hier gibt es in der Literatur ein "wildes Durcheinander" von Zahlenwerten, die als obere Grenze des normalen Abflußwiderstandes gehandelt werden. Klar ist offensichtlich, dass je höher der ermittelte ROF Wert ist, desto wahrscheinlicher profitiert ein Patient von einem Shunt. Weitgehende Einigkeit herrscht auch zu der Tatsache, dass bei ROF > 18 mm Hg x ml x min die Wahrscheinlichkeit, dass ein Patient von einem Shunt profitiert bis zu 90% betragen kann. Als Grauzone muss aktuell der Bereich von 12,5 - 18 mm Hg x ml x min angesehen werden. Einige Wissenschaftler betrachten Patienten mit diesen Werten ebenfalls als Shunt-Kandidaten. Dies ist aber sicherlich Gegenstand der aktuellen Forschung. Bei Anwendung des Bolustests wird von einzelnen Experten auch ein Wert von 5 mm Hg x ml x min als oberer Grenzwert betrachtet. 

Festzuhalten bleibt jedoch: Bei aller herrschender Unsicherheit bei Anwendung dieser Zusatzuntersuchung scheint sie andererseits wohl das Verfahren, dass neben dem spinal tap Test wohl am sichersten eine Voraussage des Shunterfolgs erlaubt. Einiges an Forschungsarbeit ist hier aber noch notwendig, bis man den Wert des Tests endgültig beurteilen kann.

Wir arbeiten im Moment mit dem Dynamischen Infusionstest, wobei der künstliche Liquor meist über eine liegende Hirndrucksonde appliziert wird und der Test dann in Vollnarkose erfolgt. Liegt der ROF Wert über 18 mm Hg x ml x min über den gesamten gemessenen Hirndruckbereich, betrachten wir dies als klare Indikation zur Shuntanlage. Bei Werten zwischen 12 - 18 mm Hg x ml x min, wird bei den Patienten eine Dauerhirndruckmessung auf Station über 24 - 72 h durchgeführt.

Die Tatsache, dass oft nicht sicher eine latente Aquäduktstenose bei multifaktoriellem chronischen Hydrocephalus nicht sicher auszuschließen ist, und das eine Enge im Spinalkanal, was gerade bei älteren Menschen häufiger vorkommt, und durch Faktoren der ROF-Messwert verfälscht wird, brachte uns über die Jahre zu der Überzeugung, dass man am sichersten korrekte Werte ermittelt, wenn man all diese potentiellen Störfaktoren umgeht indem man den Infusionstest über eine zu implantierende Hirndruckmeßsonde durchführt. Dies wird sicherlich nicht auf ungeteilte Zustimmung stoßen, manche mögen dies als zu invasiv erachten. Unsere persönlichen Erfahrungen über die Jahren ergaben jedoch in der Tat, dass die zu erzielende Sicherheit hinsichtlich der Indikationsstellung, die potentiellen Risiken bei weitem übertreffen.  

Es muss hier aber ausdrücklich betont werden, dass diese Indikationspolitik einer persönlichen Überzeugung entspricht und aus der persönlichen Erfahrung bei Verwendung verschiedener Indikationsverfahren in der Vergangenheit entstand. Andere Neurochirurgen mögen andere Erfahrungen gemacht haben und daher sowohl was die Bedeutung des Verfahrens i.R. der Indikationsstellung anbelangt, wie auch über die anzuwendenden Testverfahren und die obere Grenze der Normalwerte, andere Ansichten haben. Es ist hier wirklich Aufgabe der Wissenschaftler dies eingehender zu untersuchen, da das Verfahren grundsätzlich als sehr gutes Verfahren zur Vorhersage des Shunterfolges wohl betrachtet werden muss.    

Hirndruckmessung

Bei der Hirndruckmessung erfolgt das, was das Wort schon impliziert. Der Druck im Gehirn soll gemessen werden. Dazu gibtv es nun fast unübersehbar viele Möglichkeiten. Man kann mittels Lumbalpunktion der Liquordruck einmalig und kurzfristig messen. Man kann in der lumbalen Liquorraum einen Katheter legen und hierüber für längere Zeit (bis 72 h) den Hirndruck messen. Hierzu ist aber zu sagen, dass nur dann lumbal die gleiche Druckwerte im Liquor gemessen werden wie sie auch im Kopf herrschen, wenn eine sicher frei Kommunikation zwischen lumbalem Liquorraum und dem gesamten Ventrikelsystem besteht. Jede Form des Okklusionshydrocephalus, aber auch Patienten mit einer Spinalkanal-Enge, scheiden damit aus. .... und noch etwas: Will oder muss man längere Zeit messen, dann muss lumbal ein Katheter gelegt werden hierzu wird zunächst eine Lumbalpunktion mit einer speziellen Nadel durchgeführt und über das Lumen der Nadel dann der Katheter eingeführt. Danach wird die Nadel entfernt und der Katheter bleibt liegen. Das Problem ist, dass der Außendurchmesser der Nadel um einiges dicker sein muss, als der Messkatheter. Damit ist eine Messwertverfälschung nicht auszuschließen, da neben dem Katheter Liquor unbemerkt in die Rückmuskulatur ausfließen kann. Das ist per se nichts schlimmes und schon garnicht gefährlich, ABER der gemessene "Hirndruckwert" wird niedriger gemessen als er in der Realität tatsächlich ist.

Besser erscheint es da, dort zu messen, wo auch wirklich die Frage besteht, wie hoch denn dort der Druck sei: Nämlich im Hirn selbst.... . Auch hier gibt es verschiedenste Verfahren bezüglich des Messortes. Für jeden Messort gibt es Vor- und Nachteile zu erwähnen. Will man aber korrekte Messwerte haben, so scheint die Messung direkt "am Ort des Geschehens", nämlich im Ventrikelsystem selbst, die sinnvollste Lösung (gemäß unserer persönlichen Auffassung). Prinzipiell ist auch die Messung im Hirnparenchym sinnvoll, da hier sehr verlässliche Werte ermittelt werden. Wir bevorzugen jedoch die Messung im Ventrikel selbst, da man ggf. über den liegenden Katheter auch noch einen Infusionstest durchführen kann. Die epidurale Messung dagegen halten wir nicht mehr für sinnvoll, da in der Vergangenheit von mehreren Wissenschaftlern gezeigt wurde, dass die hier ermittelten Messwerte nur in 60 - 80% d.F. auch in etwa dem wirklichen Hirndruck entsprechen.

.... und die nicht invasive Hirndruckmessung ? Nun da gibt es zur Zeit eine intensive Forschung, dass man mittels spezieller Verfahren entweder über das Ohr oder das Auge den Hirndruck ermittelt. Aber keines der Verfahren ist bisher aus den Forschungslabors heraus und hat Einzug in den klinischen Alltag gefunden. Dies dürfte aber wohl eher eine Frage der Zeit sein.

Soweit zur Technik der Hirndruckmessung. Wie lange soll man nun den Hirndruck (ICP) messen. Sicherlich ist die einmalige Messung per Lumbalpunktion nur in Fällen mit deutlich und damit zweifelsfrei gesteigertem Hirndruck sinnvoll. In der Mehrzahl der Fälle chronischer Hydrocephalusformen kommt man damit aber nicht aus. Für den so genannten Normaldruckhydrocephalus ist es geradezu typisch, dass krankhaft erhöhte Hirndruckwerte nur episodenhaft und das meist nachts in Form so genannter B-Wellen auftreten. Bei der einmaligen Lumbalpunktion würde dies niemals erfasst werden. Wenn schon Hirndruckmessung beim chronischen Hydrocephalus, dann sollte sie wenigstens 24 h, andere meinen 48 - 72 h, in Form einer Dauerhirndruckmessung erfolgen, um diese episodenhaften Hirndrucksteigerungen überhaupt zu erfassen.

Was kann man nun mit der Hirndruckmessung anfangen ?

Zunächst betrachtet man den Mittelwert über das gesamte Zeitfenster. Liegt hier ein krankhaft erhöhter Druck vor, erscheint die Diagnose klar. Über den oberen Grenzwert des Normalen wird unter den Experten noch etwas gestritten. Werte zwischen 13 - 20 mm Hg werden erwähnt, die meisten Betrachten Messwerte über 15 mm Hg als zu hoch.

Neben diesem Mittelwert betrachtet man aber auch das "Hirndruckbild". Normalerweise sollte der Hirndruck beim ruhig flach im Bett liegenden Menschen wie mehr oder weniger gerader Strich aussehen. Bei Patienten mit Hydrocephalus dagegen findet man so genannte pathologische Hirndruckwellen. Dies sind kurzfristige (B-Wellen) oder über viele Minuten (A-Wellen) andauernde Erhöhungen des Hirndrucks, der ansonsten zwischen diesen Episoden normal ist. Während man bei der Entdeckung von A-Wellen kaum noch Zweifel an einem krankhaften Befund haben muss, gehen die Meinungen hinsichtlich der Bedeutung der B-Wellen doch weit auseinander. Einige messen Ihnen wenig Wert bezüglich der Vorhersage eines Shunterfolges zu, andere Wissenschaftler meinen dass weniger die Häufigkeit wie oft B-Wellen auftreten, als vielmehr deren Amplitude von Bedeutung sei. Die Mehrzahl der Wissenschaftler wird aber, wenn bei einer Hirndruckmessung in mehr als 50% der Messzeit B-Wellen vorkommen dies als pathologisch betrachten. Über den unteren Normalwert herrscht Uneinigkeit er wird von verschiedenen Experten irgendwo zwischen 5 und 20% der Messzeit angegeben. Hier ist aber sicher noch Klärungsbedarf nötig. 

Wir selbst verfolgen hier auch eher eine auf Sicherheit der richtigen Diagnosefindung zielende Politik. 50% B-Wellen, darunter auch solche mit großer Amplitude (10 mm Hg und mehr) betrachten wir als krankhaft und damit als Indikation zur Shuntimplantation. Treten die B-Wellen nur in 20 - 49% der Messzeit auf, betrachten wir dies z.Zt. als Grauzone (nicht normal, aber auch noch nicht zweifelsfrei pathologisch) und würden nur bei pathologischem Infusionstest eine Indikation zur Shuntimplantation stellen, oder aber wenn durch Liquordrainage eine eindeutige klinische Besserung zu erzielen ist.

Diese restriktive Politik hat sicher auch ihre Nachteile, einige Patienten, die bei allen Untersuchungen Werte im "Grauzonenbereich" aufweisen, könnten möglicherweise letztendlich doch von einer Shuntimplantation profitieren. Unsere Zurückhaltung hier begründet sich jedoch darin, dass Studien gezeigt haben, dass beispielsweise bei Patienten, die sich letztlich als an einem Hirnabbau ohne jegliche "hydrocephale Komponente" (beim älteren Menschen kommen oft Mischbilder vor aus Hydrocephalus-bedingtem und durch sonstige Hirn-Systemerkrankungen, wie z.B. Durchblutungsstörungen, die sehr wohl shunt-pflichtig sein können) der Patient nicht nur einer ihm keinen Vorteil erbringenden Operation mit den dabei existierenden Risken ausgesetzt wird, sondern vielmehr auch langfristig eine Verschlechterung gar induziert wird. Es zeigte sich nämlich bei solchen Patienten, dass die Hirndurchblutung nach der Shuntimplantation sich verschlechterte. Der zugrundeliegende Mechanismus ist noch nicht geklärt. Dieses wollen wir unseren Patienten ersparen, einige wenige werden dabei aber quasi durch das "diagnostische Raster" fallen, die möglicherweise doch vom Shunt profitiert hätten. Ich denke aber, dass dies bei all der geschilderten Unsicherheit bzgl. der Grenzwerte und Grauzonen vertretbar ist.

Auch der Stellenwert der Hirndruckmessung innerhalb des diagnostischen Vorgehens wird international uneinheitlich gesehen. Die Extreme reichen dabei von der Annahme, dass er ein unbedingtes Muss in der Diagnostik des chronischen Hydrocephalus ist, bis zu Gegnern des Verfahrens, die hierin wenig Hilfe für die Entscheidung: Shunt ja-nein erwarten.     

 

 

 

Liquorraum-Szintigraphie

Veraltete Technik.  Es wird eine schwach radioaktive Substanz in den lumbalen Subarachnoidalraum eingespritzt. Nach mehreren Stunden wird überprüft, wie sich diese Substanz in den gesamten Liquorräumen verteilt hat. Aus dem Verteilungsmuster glaubte man beurteilen zu können, ob ein Hydrocephalus vorliegt oder nicht.

Wurde in den 70er und 80er Jahren sehr gerne zur Diagnostik des so genannten Normaldruckhydrocephalus verwendet. In der Zwischenzeit ist jedoch klar, dass sich mittels dieses Verfahrens eine Hirnabbau-Erkrankung nicht von einem aktiven Hydrocephalus trennen lässt. Damit hat diese Untersuchung Ihren Wert für die Diagnostik des Hydrocephalus verloren.

Ventrikulographie

Diese Bilder entstammen unserem Bilderarchiv. Dies deutet schon an, dass dieses Verfahren, - von Ausnahmen abgesehen (z.B. wenn man überprüfen muss, ob alle Ventrikelräume miteinander problemlos Liquor austauschen können, oder ob ein bestimmter Bereich des Ventrikelsystems nicht mit dem übrigen Liquorraum kommuniziert) ein Verfahren aus der Historie der Neurochirurgie darstellt. Hauptsächlich wegen der schönen Bilder zeige ich diese hier. Das obere Bild ist ein Seitenanblick: unschwer ist der von oben kommende Ventrikelkatheter zu erkennen, über ihn wird das Kontrastmittel in den vorderen Teil des Seitenventrikels appliziert und fließt von dort in den daruntergelegenen III.Ventrikel. Von dort aus sollte dann das Kontrastmittel über den Aquädukt in den IV. Ventrikel laufen. Die Aufnahme zeigt jedoch, dass sich nur der vordere (deutlich aufgeweitete) Aquäduktabschnitt füllt, das Kontrastmittel, dann aber nicht weiterfließt. So wurde vor 30 Jahren die Diagnose einer distalen Aquäduktstenose gestellt. Das untere Bild zeigt dasselbe bei einem Blick von vorne. Die halb mit Kontrastmittel gefüllten Seitenventrikel in beiden Hirnhälften und der darunterliegende U-förmige III.-Ventrikel sind gut zu identifizieren.

ABER: wie bereits gesagt (von Ausnahmen abgesehen) hat das Verfahren bei der modernen Methodik der Indikationsstellung bei Verdacht des Vorliegens eines Hydrocephalus nichts mehr verloren.