Shuntkomplikationen
Startseite Allgemeines Historie Anatomie Physiologie Graduierung Diagnostik Therapie häufige Fragen News Autor Literatur

 

Startseite
nach oben

 

Komplikationen der Shunt-Operation

 

Wenn Sie sich das nun folgende durchlesen so sollten sie sich zunächst  klar machen, dass die hier beschriebenen Komplikationen bei weitem nicht bei jedem Patienten auftreten müssen, sondern vielmehr Eventualitäten darstellen ! Betrachten Sie die gemachten Aussagen, wie das was man in einem Bepackzettel von Medikamenten unter Nebenwirkungen aufgeführt findet. Selbst bei "Allerwelts-Medikamenten" wie Aspirin steht unter Nebenwirkungen eine ganze Latte von möglichen Nebenwirkungen, aber wie selten kommt etwas dieser Art vor ? Ähnliches gilt auch für die hier aufgeführten möglichen Nebenwirkungen eines Shunts. Lassen Sie sich auf keinem Fall durch das hier beschriebene von einer eventuell notwendigen Operation abhalten. Diese Angaben sollen Ihnen nur helfen mit Ihrem Arzt über die Operation sprechen zu können und ausreichend vorinformiert zu sein. Es ist klar, dass man in der Medizin immer eine Nutzen - Gefahren Analyse vornimmt und Ihnen eine Operation nur dann empfiehlt, wenn der Nutzen eindeutig die möglichen Gefahren überwiegt.

 

Es klingt schon irgendwie verrückt. Gemessen am gesamten Spektrum an Operationen, die in der Neurochirurgie erfolgen, gehört die Shuntoperation für den Operateur sicherlich als eine der einfachsten Operationen. Dennoch ist die Shuntoperation, die Operation, die die meisten Komplikationen aufweist. Es muß dabei betont werden, dass damit jede Form der Komplikation gemeint ist, nicht nur solche, die schwere bleibende Konsequenzen haben. Diese schweren Komplikationen mit bleibenden Behinderungen treten in etwa in 1 - 5 % d.F. auf (abhängig von Alter und übrigem Gesundheitszustand, sowie der Art des Hydrocephalus).

Jedoch berichten die meisten seriösen Studien über eine absolute Anzahl von Komplikationen bei langer Nachbeobachtung von wenigstens 15 - 20% (die bisher besten veröffentlichten Zahlen). Höhere Komplikationsraten sind jedoch auch heute noch keine Seltenheit in Kliniken, die diese Operationen seltener durchführen.

Die beiden Komplikationen, die im wesentlichen für diese derart hohen Komplikationsraten verantwortlich sind sind:

Infektionen

Überdrainage incl. all ihrer Folgen

 

Die übrigen Komplikationen sind eher seltener Natur.

Grundsätzlich handelt es sich bei einem Shunt um ein mechanisches Bauteil, das prinzipiell einer Materialermüdung unterliegt. Voraussagen jedoch wielange ein Shunt funktionieren kann , kann man nicht, da die Materialbeanspruchung von Patient zu Patient wechselt. Außerdem können sich Ventile verstopfen. Man muß hierzu wissen, dass die Schläuche meist einen Durchmesser von max. 1,1 mm haben, in den Ventilen selbst gibt es Stellen, wo das der Liquordrainage dienende Lumen nur wenigen Mikromillimeter entspricht. Hier können sich Eiweiße, die sich natürlicherweise im Liquor befinden ablagern oder aber unter bestimmten Umständen auch andere Gewebeanteile. In diesen Fällen muß dann der verstopfte Ventilanteil ausgetauscht werden. Beim Erwachsenen sind diese Komplikationen selten, bei Kindern kommen sie etwas häufiger vor.

Eine auch fast nur bei Kindern auftretende typische Komplikation ist die sekundäre Shuntfehllage und die Diskonnektion. Im Rahmen des Wachstums werden die Schläuche von Ihrem ursprünglichen Implantationsort weggezogen, da sie relativ zum Körperwachstum zu kurz werden. Liegt der Schlauch im Bauch, so kann man bei der Implantation des Ventils eine Reservestrecke in die Bauchhöhle einbringen, die dann beim Körperwachstum herausgezogen werden kann. Gleiches ist aber nicht bei "Herzkathetern" möglich, da sie nicht in beliebiger Länge in die Gefäße gelegt werden können. Sind die Schläuche an 2 Punkten sehr fest fixiert, so können sie auch an Schwachstellen der Shunts auseinanderreißen. Solche Schwachstellen sind immer Konnektoren, dies sind Bauteile, die der Verbindung von 2 Schläuchen eines Shunts dienen. Da das Wachstum des Körpers im Bereich der Rumpfwand am größten ist, sollte dort möglichst auf solche Schwachstellen verzichtet werden, am Kopf selbst ist die relative Streckenzunahme während des Wachstums geringer, sodass Konnektoren dort eher tolerabel sind. Selten kann es auch unmittelbar nach Implantation des Shunts zur Fehllage von Katheteranteilen kommen. Zum Beispiel kann ein Bauchschlauch durch heftige Hustenattacken in der Zeit unmittelbar nach Implantation aus der Bauchhöhle herausgepreßt werden, um dann im Unterhautfettgewebe zu liegen.

Abstoßungsreaktionen: Silikon ist eigentlich ein in der gesamten Medizin sehr häufig verwendeter Stoff, da er sich normalerweise inert verhält. Das heißt, das der Körper Silikon nicht unbedingt als Fremdmaterial erkennt und es dann abstößt. Allerdings gilt dies bei Leibe nicht ohne Ausnahme. Wie auch bei anderen Silikonimplantaten (siehe Brustvergrößerung durch Silikonkissen ! ;)) gibt es aber auch bei Shunts verschiedenste Abstoßungsreaktionen: Es kann zu lokalen Hautirritationen bis hin zur Hautnekrose an der Haut über den Implantaten kommen (meist wird dies noch gefördert, wenn bei Kleinkindern die Haut über den Ventilen sehr gespannt ist, da Ventile großer Baugröße verwendet wurden). Auch Reizungen innerer Organe kommen als Reaktion auf das Fremdmaterial vor. Dies kann bei Erwachsenen zu Bauchschmerzen führen, die typischerweise bewegungsabhängig sind, ihre Lokalisation ändert sich meist und es handelt sich nicht um einen Dauerschmerz. Meist verliert sich diese Symptomatik nach 2 - 3 Monaten. Sollte das Problem dann weiterhin bestehen, so kann nur durch Entfernen des Bauchschlauches und Anlage eines Herzschlauches geholfen werden. Sehr selten ist, dass der Bauchschlauch durch Narbengewebe, was  sich überschießend im Rahmen einer Abstoßungsreaktion bildet, umwachsen wird. Sehr selten kommt es bei Kleinkindern auch zu einer eher aggressiven Verlaufsform einer Abstoßungsreaktion in Bauchraum, wobei Organe angegriffen werden.

Thrombosen: bei Herzkatethetern können sich an deren Spitze Blutblättchen ablagern und zu einem Thrombus (Blutgerinnsel) anwachsen. Leider ist nichts genaues darüber bekannt wie häufig so etwas auftritt, da gerade kleinere Thromben auch schnell wieder losgelöst und abgespült werden und sich, - da sie auch keine klinische Symptomatik verursachen -, somit dem Nachweis entziehen. Letztenendes muß man aber zumindest im Auge behalten, dass, wenn derartige Ereignisse gehäuft auftreten dies über längere Zeit auch Auswirkungen auf den Blutkreislauf der Lunge haben könnte. Genaues ist aber hier wie gesagt nicht bekannt. Selten wachsen Thromben zu so einer stattlichen Größe an, dass sie klinische Beschwerden bei Herz und Kreislauf verursachen. Um derartige Entwicklungen frühzeitig zu erkennen empfiehlt es sich, dass einmal jährlich ein Ultraschall des Herzens erfolgt, wo man zumindest größere Thromben sehen könnte.

Verletzung innerer Organe: die Verletzung innerer Organe bei der Implantation eines Shunt ist äußerst selten. Etwas häufiger kommt es vor, dass ein Shunt nach Implantation sekundär z.T. nach Jahren ein inneres Organe (v.a. Hohlorgane des Bauches) perforiert. Hier werden auch Abstoßungsreaktionen als möglicher Mechanismus diskutiert.

Verletzung des Gehirnes: Der Ventrikelkatheter muß durch intakte Hirnsubstanz in die Hirnwasserkammern vorgeschoben werden. Grundsätzlich ist denkbar, dass hierbei das Gehirn einen Schaden nehmen könnte mit allen erdenklichen z.T. auch bleibenden Folgeschäden. Hält man sich jedoch vor Augen wie dünn die Katheter sind und dass die Katheter das Hirngewebe eigentlich mehr auseinanderdrängen als es zu zerstören, so muß man sagen, dass diese Gefahr äußerst rar ist.

 

 

Überdrainage

Das Wort Überdrainage haben Sie auf einigen Seiten dieser Webpage schon gelesen. Jetzt ist es an der Zeit darauf näher einzugehen. Was ist eine Überdrainage ? Einfach gesagt: Es fließt mehr Liquor pro Zeiteinheit ab, als es notwendig und gesundheitlich sinnvoll ist. Gott sei Dank hat der Körper mehrere Mechanismen, um eine Überdrainage in begrenztem Umfang zu kompensieren. es muß also nicht jede Überdrainage gleich irgendwelche Konsequenzen haben.

Pathophysiologie

Zunächst wollen wir uns aber der Frage zuwenden, wie es überhaupt zu einer Überdrainage kommen kann. Dazu muß man sich zunächst von der weit verbreiteten Meinung frei machen, dass ein Shunt nur dann öffnet, wenn der Druck im Kopf zu hoch ist. Leider ist es ganz anders. Ein Ventil kann immer nur mit einem Referenzdruck arbeiten. Haben wir einen Dampfkochtopf, so haben wir einerseits einen Druck im Kochtopf selbst und andererseits den Druck in dem Luftraum der den Topf umgibt. Letzterer ist der Atmosphärendruck. Das Ventil des Druckkochtopfes öffnet sich sobald der Druckunterschied (Differenzdruck) zwischen außen (Atmosphärendruck) und innen (Druck im Kochtopf) größer ist als die Federkraft des Ventils am Kochtopf. Die Druckdifferenz zwischen außen und innen bei der sich das Ventil öffnet bezeichnet man als dessen Öffnungsdruck. Ventile können also nur dazu dienen, dass sie bei einer bestimmten Druckdifferenz sich öffnen. Die Sache ist so lange einfach, wie der zweite Druck am Ende des Ventils der uns umgebende Luftdruck ist. Da wir dessen Auswirkungen tag-täglich nur selten wirklich wahrnehmen, wird zur Vereinfachung dieser Druck oft mit Null angenommen, obwohl richtigerweise natürlich ein Druck von ca. 1015 mbar herrscht (siehe Barometer). Herrscht im Kochtopf gleichzeitig ein Druck von 1030 mbar, so hätte das Ventil einen Öffnungsdruck von 15 mbar. Viele Meßgrößen des Alltags werden jedoch nicht mit solchen unhandlichen Zahlen angegeben. Messen wir den Blutdruck, so erhalten wir einen Wert von 120 / 80 mm Hg. Dies ist aber ein relativer Druck. Relativ deswegen, weil man den Blutdruck in Relation zum Luftdruck mißt. Der Blutdruck ist also um den genannten Betrag höher als der Bezugsdruck (Luftdruck). Auch der Hirndruck wird relativ zum Luftdruck gemessen. Als normal gilt ein Hirndruck von 7 - 15 cm Wassersäule (= 5 - 12 mm Hg). Der Hirndruck ist also nur minimal höher als der Luftdruck. Im Stehen haben wir sogar verglichen mit dem Luftdruck als Referenz einen Unterdruck von - 5 cm Wassersäule im Kopf.

Nun kommt der entscheidende Punkt: Wir wissen, dass ein Ventil immer nur ab einer gewissen Druckdifferenz öffnet. Es muß also einen Referenzdruck geben, der dem Ventil quasi den Nullpunkt vorgibt. Solange das Ventil den Luftdruck als Referenz hat ist alles ganz einfach. Dies ist aber bei Shunts nicht der Fall. wir wissen, dass Shunts Vollimplantate sind. Das heißt der Shunt hat nirgendwo mehr den Luftdruck als Referenzdruck, da der ja nicht irgendwo an Körper eine offene Verbindung nach außen hat. Der Shunt beginnt in den Hirnwasserkammern und endet in der Bauchhöhle oder den größen Venen vor dem Herzen. Unter normalen Umständen herrscht an eben diesen beiden Endpunkten des Shunts meist ein Druck der dem Luftdruck sehr ähnelt. Daher kann man den Druck am Ende des Shunts grob orientierend als Null annehmen.

Noch immer haben wir kein Problem mit der Überdrainage. Um diese nun zu erklären, wenden wir uns der folgenden Abbildung zu.

Liegt ein Patient so gilt das oben gesagte. Das Wasserbecken im Kopf (die Ventrikel) liegen nämlich auf gleicher (geographischer ) Höhe, wie der Bauchraum / große Venen vor dem Herz. Anders ist es jedoch, wenn der Patient aufsteht. Dann liegt der Bauchraum beim Erwachsenen ca. 50 cm tiefer (große Venen vor dem Herzen ca. 35 cm) als die Ventrikel. Wir haben also 2 Wasserbecken, die miteinander in Verbindung stehen und die einen deutlichen Höhenunterschied haben. Was passiert, wenn man gar kein Ventil sondern nur einen Schlauch zwischen beiden Wasserbecken legt. Wir bahnen den Weg des Wassers und schaffen damit nichts anderes als einen Wasserfall. Unser gesunder Menschenverstand sagt bereits, dass das höher gelegene Becken eigentlich komplett leerlaufen sollte. Der Druck den das Wasser in dem Höheren Becken hat, entspricht exakt der Höhendifferenz der beiden Becken. Dieser alleine aus der unterschiedlichen (geographischen) Höhe des oberen Wasserbeckens resultierende Druck wird als hydrostatischer Druck bezeichnet. 

Unter der Annahme dass der Bauchraumdruck in etwa dem Luftdruck entspricht und dem Wissen, dass ein normaler Hirndruck bis 15 cm Wassersäule reicht, muß man als maximalen Öffnungsdruck eines Ventils einen Öffnungsdruck von 15 cm Wassersäule wählen. Nimmt man zur Vereinfachung noch an dass der Druck im Hirn im Liegen 10 cm Wassersäule ist, würde ein solches Ventil unter diesen Umständen sich nicht öffnen. Was passiert nun, wenn der Patient aufsteht ? Wir nehmen an, dass der Hirndruck weiterhin 10 cm Wassersäule beträgt (relativer Druck zum Luftdruck). Das Ventil sollte und bräuchte sich also eigentlich nicht zu öffnen. Der absolute Druck im Kopf ist aber nun um den Betrag des hydrostatischen Drucks angestiegen. Ein konventionelles Ventil vermag aber nicht zu unterscheiden, warum ein Druck angestiegen ist im Vergleich zum Referenzdruck. Das Ventil verhält sich so, als herrsche im Liegen ein Hirndruck von 60 cm Wassersäule (50 cm hydrostatischer Druck + 10 cm realer Hirndruck). Das konventionelle Ventil wird sich bei dieser Druckdifferenz natürlich, da sein Öffnungsdruck deutlich geringer ist, sofort öffnen. Es "merkt" ja nicht, dass der Hirndruck nur vermeintlich angestiegen ist, da der Liquor nun 50 cm höher ist als die Bauchhöhle. Das Ventil läßt also jetzt das Abfließen von Liquor zu, obwohl dies absolut nicht notwendig ist. Es wird also zweifelsfrei unnötigerweise jetzt Liquor drainiert, und zwar in dem gegeben Beispiel so lange bis verglichen zum Luftdruck im Kopf ein dramatischer Unterdruck herrscht von -35 cm Wassersäule (hydrostatischer Druck - Öffnungsdruck). Durch diesen in der Physik als Hebereffekt bezeichneten Einfluß entsteht über den Shunt somit ein Sog in den Shunt hinein.

Alles verstanden ?

Nein; kein Wunder, das ist auch ein bißchen schwer. Spielen sie einfach einmal mit zwei Wasserbechern, die mit einem Schlauch miteinander verbunden sind, so wie es in der oben stehende Zeichnung angedeutet ist.

Das Problem ist nun, dass der hydrostatische Druck im Betrag wesentlich höher ist, als der Differentialdruck, den man sich für ein Ventil im Liegen wünschen würde. Sollte, um beim Beispiel oben zu bleiben der Liquor bei dem gleichen Hirndruck fließen wie im Liegen (dort ab 15 cm Wassersäule), so benötigte unser Patient im Stehen ein Ventil mit einem Öffnungsdruck von 65 cm Wassersäule (Öffnungsdruck im Liegen + hydrostatischer Druck). Man benötigte also je nachdem in welcher Position sich der Körper befindet jeweils ein um den Betrag des hydrostatischen Drucks höheren Öffnungsdruck bei dem Ventil. Der Patient mußte sozusagen mehrere Ventil implantiert bekommen, die jeweils je nach Körperlage aktiviert werden. Seit einigen Jahren gibt es solche Ventile. Man nennt sie Schwerkraftventile. Festzuhalten bleibt aber, dass die allermeisten Ventile sich hinsichtlich ihres Öffnungsdrucks überhaupt nicht ändern, wenn der Patient sein Körperposition von Liegen zum Stehen ändert. Bei all diesen Systemen ist dann eine Überdrainage die unvermeidliche Konsequenz, wenn der Patient sich aufrichtet.

 

 

Folgen der Überdrainage

  1. Überdrainage Syndrom

  2. Schlitz-Ventrikel

  3. Subdurale Ergüsse, subdurale Blutungen (Hämatome)

  4. Slit-ventricle Syndrom

  5. Verstopfung des Ventrikelkatheters / Shuntversagen

  6. Übergroße Nasen-Nebenhöhlen

  7. Verdickung des Schädelknochens

  8. Vorzeitiger Verschluß der Schädelnähte / Kraniostenosen

  9. Abschnürung einzelner Anteile des Ventrikelsystems

 

Sie werden nun richtigerweise sagen: Nach all dem vorgenannten müsste eigentlich jeder Patient, der kein Schwerkraftventil hat, die Folgen der Überdrainage in Form von Symptomen merken. Dies ist Gott sei Dank aber nicht der Fall. In großen Metaanalysen zeigt sich, dass nur 20 % (Angaben schwanken zwischen 4 - 70%) der Patienten irgendwelche Folgen einer Überdrainage jemals erleiden wird. Der Körper ist nämlich in der Lage in gewissem Umfang die Folgen der Überdrainage auszugleichen. Dort aber wo dies nicht gelingt, können die oben erwähnten Folgen auftreten.

 

1. Überdrainage Syndrom

Die Patienten leiden unter Kopfschmerzen, Übelkeit, Schwindel u.a. Beschwerden, die z.T. denen bei Überdruck im Kopf zum verwechseln ähnlich sind. Einzig die Tatsache, dass diese Beschwerden charakteristischerweise nur beim Aufstehen einsetzen und wenn die Patienten sich hinlegen wieder verschwinden, ermöglicht die Abgrenzung zum Überdruck. Im CT oder MRT ist selten etwas wegweisendes zu sehen.

 

2. Schlitzventrikel

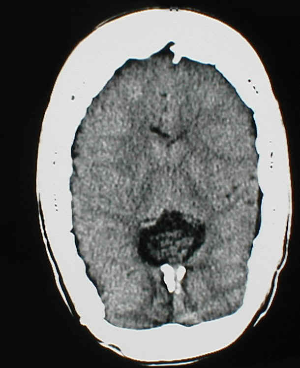
Schlitzventrikel für sich genommen haben zunächst keinen Krankheitswert. Der Begriff bezeichnet nur die Weite der Hirnwasserkammern, die infolge der Überdrainage schlitzförmig verengt sind. Ein solches Erscheinungsbild der Ventrikel im CT oder MRT bestätigt aber z.B. die Verdachtsdiagnose "Überdrainage Syndrom".

 

3. Subdurale Ergüsse / Hämatome

Das Hirn wird von insgesamt 3 Hirnhäuten umgeben. Die Räume zwischen den Hirnhäuten haben verschiedene Namen. Der Subdural-Raum bezeichnet den Raum zwischen der äußeren (harten) und der mittleren Hirnhaut. Es ist normalerweise nur ein kapillärer Spalt. In Rahmen einer Überdrainage kann es jedoch dazu kommen, dass die Ventrikel kollabieren (Schlitzventrikel) und sich konsekutiv dieser Raum vergrößert. Er wird dann mit einer Liquorähnlichen Flüssigkeit oder wenn im Rahmen des "Zusammenfallens" des Hirns bei der Verringerung des Ventrikelvolumens Venen ausreißen auch mit Blut angefüllt sein. Diese Ergüsse oder Blutungen befinden sich also zwischen Hirnoberfläche und Schädelknochen.

4. Slit-ventricle Syndrom

kommt eher bei Kindern als bei Erwachsenen vor. Dies ist eine ganz heimtückische Folge der Überdrainage.

Der Mechanismus ist auf der Abbildung oben illustriert. Stadium 1: Ein Patient hat im Stehen eine Überdrainage. Sog entsteht im Ventrikelkatheter. Gewebe das die Ventrikelwand auskleidet wird in die Löcher des Ventrikelkathers eingesogen und verschließt sie (gelb makierte Bereich. Noch ist aber ein Loch offen, über das Liquor abfließen kann. Stadium 2: Der Sog war so größ, dass auch das letzte Loch verschlossen wurde. Liquor kann über den Shunt nicht abfließen. Nach einer gewissen Zeit oder aber unmittelbar nach dem Hinlegen, steigt der intrakranielle Druck und die Ventrikel blähen sich auf. Dabei wird das Gewebe der Ventrikelwand i.R. des Aufblähens der Ventrikel wieder aus den Löchern des Ventrikelkatheters herausgezogen. Jetzt kann Liquor wieder abfließen (Stadium 3). Dieses Hin- und Her zwischen Stadium 2 (funktionell verschlossener Shunt) und Stadium 3 (vorübergehende Hirndruckerhöhung gefolgt von einem Aufblähen der Ventrikel und einer konsekutiven Wiedereröffnung der zuvor verschlossenen Löcher des Ventrikelschlauch und damit auch der Normalisierung des Hirndrucks) kann über eine lange Zeit stattfinden. Die Patienten können dabei beschwerdefrei sein oder nur kurzfristig bis der Shunt wieder auf ist Beschwerden haben. Irgendwann jedoch kann Stadium 2 in Stadium 4 übergehen. In Stadium 4 sind die Gewebeanteile in den Löchern des Ventrikelkatheters so fest eingesogen, dass sie auch bei einer Hirndruckerhöhung sich nicht mehr herausbewegen (z.T. auch weil sie aus der Ventrikelwand ausreißen). Der Shunt ist nun irreversibel verstopft. Hirndruck mit all seinen Folgen entsteht.

Das heimtückische am Slit-ventricle Syndrom ist, dass man im CT oder MRT meist völlig normale Verhältnisse sieht, die Ventrikel also eher zu eng oder normalweit erscheinen, wenn der Patient sich zwischen Stadium 2 und 3 bewegt. Gefährlich wird es, wenn der Patient, was häufig beim Slit ventricle Syndrom vorkommt noch starre Ventrikel hat. Die Ventrikelwände sind dann durch verschiedene Faktoren so vernarbt, dass auch bei einem sehr hohen z.T. lebensbedrohlichen Hirndruck die Ventrikel auch in Stadium 4 nicht weiter werden. Würde der Arzt sein Schlußfolgerungen dann nur aus der Weite der Ventrikel ziehen, könnte er zu dem Schluß kommen, dass es vom Bild her keinen Hinweis auf ein Shuntversagen gibt, da die Ventrikel nicht erweitert sind. Die Kombination Slit-ventricle Syndrom + Starre Ventrikel muß also immer bedacht werden, wenn ein Patient schon lange bekanntermaßen Schlitzventrikel hat und dann plötzlich eine Hirndrucksymptomatik entwickelt. In solchen Fällen ist es hoch gefährlich, wenn man sich nur auf die Bildgebung verläßt.

 

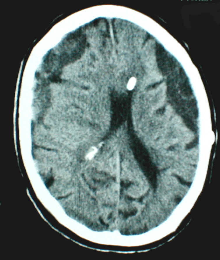
5. Verstopfung des Ventrikelkatheters / Shuntversagen

wie unter 4. Slit ventricle Syndrom erwähnt, kann es im Rahmen einer chronischen Überdrainage zum Verstopfen des Ventrikelkatheters kommen. Das Bild unten zeigt eine solche Komplikation. Unschwer erkennt man auf dem CT (rechts) die schlitzförmigen Ventrikel und dass der Ventrikelkatheter praktisch vollständig von Hirngewebe umschlossen ist. Die Folge ist auf dem linken Bild deutlich zu sehen. Die Löcher des Katheters und auch weitere Anteile des Shunts sind mit Gewebe verstopft. Dieser Shunt kann nicht mehr funktionieren.

 

6. / 7. / 8. Vergrößerte Nasennebenhöhlen, verdickter Schädelknochen, verfrühter Nahtschluß, Kraniostenose

Diese Folgen der Überdrainage treten nur beim Kind auf, also dort, wo der Schädel noch wachsen kann. Sowohl die Verdickung des Schädelknochens, wie auch die z.T. exorbitante Vergrößerung der Nasennebenhöhlen (NNH) sind äußerlich am Schädel nicht festzustellen. Sowohl die Übermäßige Ausdehnung des Schädelknochens, wie auch die der NNH sind nach innen ins Schädelinnere gerichtet. Wir sagten oben bereits, dass i.R. der Überdrainage im Schädelinnern quasi ein Sog entsteht, der zu Schlitzventrikeln führt. Dadurch fällt das Gesamthirnvolumen kleiner aus als normal. Durch die vorgenannten Maßnahmen versucht der Körper dann die Schädelhöhle in ihrer Dimensionierung an das kleinere Hirnvolumen anzupassen

Der Sog kann aber auch dazu führen, das die Schädelnahte, die beim Kind noch weit offen sind, um ein Schädelwachstum zu erlauben, so stark ineinander gesogen werden, dass sie viel zu früh zuwachsen. Letzteres sollte erst geschehen, wenn das Wachstum des Gehirns abgeschlossen ist. Sind die Schädelnahte aber einmal zusammengewachsen, so kannauch bei weiterem Hirnwachstum der knöcherne Schädel sich nicht mehr adäquat vergrößern. Es entsteht ein Mikrozephalus. Wenn das Verhältnis von Hirnwachstum und Schädelgröße sich besonders negativ entwickelt kann Hirndruck entstehen. Werden i.R. der Überdrainage nur einige (meist die Längsnaht) des Schädels frühzeitig verschlossen und bleiben andere offen, so führt eine Zunahme des Hirnvolumens im Rahmen des normalen Wachstums zwangsläufig dazu, dass das Hirn sich dorthin ausdehnt, wo Schädelnähte noch offen sind und ein Schädelwachstum somit noch möglich ist. Der Kopf wächst dann nur an einigen Stellen an anderen aber nicht. Dadurch kommt es zu einer z.T. unschönen Verformung des Schädels. Bei einer Überdrainage wachst der Schädel meist nur noch in die Länge (Distanz zwischen Hinterhaupt und Stirn wird größer) aber nicht mehr in die Breite. Diese Art der Fehlentwicklung bezeichnet man als Kahnschädel. Allgemein bezeichnet man solche Fehlentwicklungen des Schädels als Kraniostenose.

 

9. Abschnürung bestimmter Ventrikelanteil

Dies ist wieder besonders schwer zu erklären: Bei einer Überdrainage kann es dazu kommen, dass bestimmte Hirnteile aus ihrer normalen Position herausgesogen werden und anders als normal im Schädel liegen. Typisch ist zum Bespiel, dass das Stammhirn, wenn die im Großhirn liegenden Seitenventrikel schlitzförmig verengt sind aus seiner normalen Lage nach oben gesogen wird. Eine natürliche Verbindung zwischen dem III. und IV. Ventrikel der Aquädukt liegt im Stammhirn. Dieses Verbindungsröhrchen ist normalerweise nur ca 0,75 mm stark. Verlagert sich nun das Stammhirn, so kann der Aquädukt abknicken und damit funktionell verschlossen sein. Liquor kann nicht mehr zwischen III. und IV. Ventrikel fließen. Da die Shunts aber typischerweise in den Seitenventrikeln liegen, kann somit auch kein Liquor mehr aus dem IV. Ventrikel über Aquädukt und III.Ventrikel zum Shunt hin fließen. Der Liquor staut sich isoliert im IV. Ventrikel. Die klinischen Folgen hiervon können sehr unterschiedlich sein. Im CT / MRT sieht man typischerweise die Seiteventrikel und den III.Ventrikel in kollabiertem Zustand, während der IV.Ventrikel im Vergleich dazu riesig sein kann.

 

Therapie der Überdrainage

Die Therapie der Überdrainage und ihrer Folgen kann zum Teil äußerst schwierig sein. Eine asymptomatische Überdrainage braucht im Prinzip nicht therapiert zu werden.

Bei leichten Symptomen wie z.B. Überdrainage-Kopfschmerzen sollte zunächst ein konservativer Therapieversuch gemacht werden. Hierzu sollte der Patient möglichst über mehrere Tage flach liegen und sehr viel Flüssigkeit zu sich nehmen. Bleibt dies ohne dauerhaften Erfolg, so sind operative Maßnahmen angezeigt.

Hilft die konservative Therapie nicht, so kann man bei Patienten mit einstellbaren Ventilen den Öffnungsdruck des Ventils nach oben korrigieren. Es muß aber nochmals eingehend betont werden, dass dies andererseits auch bedeutet, dass die Drainage über den Shunt in flach liegender Position erst später einsetzt und hieraus ggf. eine zu geringe Drainagerate im Liegen resultiert. Somit sind einstellbare Ventile nicht wirklich die sinnvolle Therapie bei Überdrainage, sie können jedoch in weniger problematischen Fällen hilfreich sein, um einen besseren Kompromiß zwischen der Drainage im Stehen und im Liegen zu erzielen.

 

 

Verwendung von Schwerkraftventilen

Meist kann man manifesten Überdrainageprobleme nur dadurch beherrschen, dass man Schwerkraftventile einsetzt. Ist bereits ein konventionelles Ventil implantiert, so kann man dazu ein Zusatzventil wie den Miethke Shunt-Assistenten verwenden. Man kann dies problemlos in örtlicher Betäubung in das bestehende Shuntsystem zusätzlich implantieren. In anderen Fällen kann es notwendig sein das existierende Ventil durch ein Schwerkraftventil zu ersetzen.

 

temporäre Klippung des Shunts

in gravierenden Fällen kann es notwendig sein, dass man den vorhandenen Shunt vorübergehend ganz verschließt, man spricht davon, dass man den Shunt klippt. Hierzu wird eine winzige Metallklammer verwendet, die man auf den Silikonschlauch des Shunts aufbringt und diesen damit verschließt. Sind die Folgen der Überdrainagev vollständig behoben, so kann diese Metallklammer wieder ohne neuerliche Operation gezogen werden. Der Shunt ist wieder durchgängig.

 

Therapie der Folgen der Überdrainage

Sind einmal manifeste Folgen einer Überdrainage eingetreten, wie z.B. Subdurale Hämatome oder Kraniostenosen, so genügt es meist nicht mehr, dass man das Phänomen Überdrainage beseitigt. Vielmehr muß zusätzlich auch die sekundär entstandene Folge z.T. auch operativ beseitigt werden.

 

 

Shuntinfektion

 

Infektionen treten durchschnittlich in 5% d.F. auf. In der Literatur werden jedoch auch Zahlen von 12% des öfteren genannt. Diese hohe Anzahl an Infektionen muß heute als inakzeptabel gelten, da es auch Berichte gibt, die über eine Infektionsfrequenz von unter 1% berichten. Durch sticktes Befolgen aller dort gemachten Vorschläge zur Reduktion der Wahrscheinlichkeit einer Infektion sollte es heute möglich sein, die Wahrscheinlichkeit einer Shuntinfektion unter 5% zu halten.

Es muß aber immer bedacht werden, dass ein Shunt ein Fremdkörper im Körper ist, der nicht durchblutet wird. Lagern sich während der Implantation auch nur sehr wenige Keime an den Schläuchen an, so können sie vom Körper meist nicht effektiv bekämpft werden, da die Bakterien sich in winzige Vertiefungen auf der Oberfläche der Silikonschläuche verbergen können und meist auch noch von einer Schleimkapsel umgeben sind, die den Angriff durch Antibiotika verhindert.

Ziel muß es also sein möglichst keine Keime an die Silikonschläuche bei der Implantation kommen zu lassen. Diese Vorstellung muß jedoch als Maximalforderung gelten, da Shunts zwar in einer hoch-sterilen Arbeitsumgebung implantiert werden. Dies heißt aber nur, dass mit allen Maßnahmen die Anzahl der Bakterien drastisch reduziert werden. Es ist aber eine Illusion anzunehmen, dass eine absolute Keimfreiheit hier zu erzielen sei. Man muß sich dazu vorstellen, dass auf jedem Quadratzentimeter Haut viele Tausend Keime auch beim gesunden Menschen vorkommen. Diese können nie vollständig beseitigt werden. Es hängt dann von der Abwehrlage des jeweiligen Patienten ab, ob er es schafft die wenigen Keime, die bei einer Shuntimplantation unvermeidlicherweise doch in die Wunden kommen effektiv zu bekämpfen oder nicht. Die Rolle der prophylaktischen Antibiotikagabe zur Vermeidung von Infektionen ist noch nicht 100% geklärt. Es scheint jedoch wichtig, dass mit einer Prophylaxe mehrere Tage vor der Shuntimplantation begonnen wird, damit sich im Unterhautfettgewebe ein ausreichender Spiegel des Medikamentes befindet. Ebenso ist die Rolle Antibiotika-imprägnierter Shunt-Schläuche, die jetzt seit gut einem Jahr verfügbar sind, bislang noch unklar. Hier müssen Studien zunächst noch klären, ob hiermit die Wahrscheinlichkeit einer Infektion reduziert werden kann.

Eines muß allerdings noch hervorgehoben werden: Nicht jede (wenn auch die Mehrzahl) Shuntinfektion nimmt ihren Ausgang bei der Shuntimplantation. Gibt es Bakterienherde im Körper zu irgendeinem Zeitpunkt nach der Shuntimplantation, so können von dort aus Bakterien auf dem Blutweg an den Shunt gelangen und diesen infizieren. Bei einer Shuntinfektion muß daher in jedem Fall auch diese Möglichkeit bedacht werden.

Die Konsequenzen einer Shuntinfektion können sehr unterschiedlich sein. Die schlimmsten sind die Fortleitung der Infektion mit Mitentzündung der Hirnhäute oder innerer Organe. Dies geschieht in der Regel nicht unmittelbar, sondern kann sich im Verlauf eines längeren Bestehens einer solchen Infektion ausbilden. Dennoch müssen selbst im Verdachtsfall drastische Maßnahmen erfolgen. Ein infizierter Shunt ist nicht zu retten. Er muß explantiert werden und ein neues Ventil kann erst wieder implantiert werden, wenn die Infektion gänzlich ausgeheilt ist. 

Ein typische aber eher harmlose Folge einer Infektion eines Shunts ist, dass sich in der Bauchhöhle so genannte Pseudozysten ausbilden. Es verklebt dabei die Außenhaut einiger Darmschlingen miteinander und bildet dann um das Ende des Peritonealkatheters eine Art Hohlraum aus dem der Liquor mit der Zeit nicht mehr abfließen kann. Die Zyste wird größer und prall gefüllt, Liquor kann nicht mehr abfließen. Der Shunt ist funktionell verstopft. Es bleibt nur die Revisionsoperation bei der man meist den Bauchschlauch durch einen Herzschlauch ersetzen muß. Frühzeitig erkannt ist es zwar eine lästige an sich aber nicht gefährliche Sache.