Formen
Startseite Allgemeines Historie Anatomie Physiologie Graduierung Diagnostik Therapie häufige Fragen News Autor Literatur

 

Startseite
nach oben

 

Eine wie auch immer geartete Systematik in die Benennung der verschiedenen Formen des Hydrocephalus zu bekommen ist schier unmöglich. Man kann fast sagen, dass fast jede Klinik ihre eigenen Bezeichnungen hat. Unter ein und demselben Namen werden von verschiedenen Ärzten sogar zum Teil verschiedene Unterformen des Hydrocephalus verstanden. Die Ursache für dieses babylonische Sprachgewirr liegt darin, dass man die verschiedenen Unterformen des Hydrocephalus nach unterschiedlichen Gesichtspunkten einteilen kann:

Höhe des Hirndrucks: dauerhaft / intermittierend erhöht

Ort der Liquorzirkulationsstörung: Okklusionshydrocephalus / kommunizierender Hydrocephalus / malresorptiver Hydrocephalus

Zeitdauer des Bestehens der Erkrankung: akut / chronisch

Ursache bekannt / nicht bekannt ?: sekundärer / ideopathischer Hydrocephalus

Ich werde versuchen hier ein bißchen Ordnung zu schaffen:

 

Okklusionshydrocephalus versus kommunizierender Hydrocephalus

Beim Okklusionshydrocephalus liegt die Abflußbehinderung innerhalb der Hirnwasserkammern. Der freie Abfluß des Liquors aus den Ventrikeln in die äußeren Liquorräume kann nicht korrekt stattfinden. Typische Beispiele hierfür sind die unten aufgeführte: Aquäduktstenose, Chiari-Malformation, Dandy-Walker-Malformation.

Der kommunizierende Hydrocephalus ist das genaue Gegenteil zum Okklusionshydrocephalus: Hier kann der Liquor frei durch alle Ventrikel fließen und auch unbehindert im Bereich des IV. Ventrikels in die äußeren Liquorräume austreten. Zwei Szenarien sind dann denkbar. Entweder der Liquorabfluß in den äußeren Liquorräumen ist behindert. Dies tritt zum Beispiel auf nach Hirnhautentzündungen, wenn die Hirnhäute miteinander verklebt sind. In diesem Fall kommt der Liquor zwar unbehindert aus dem Ventrikelsystem heraus; sein Weg zu den Orten, wo er resorbiert wird (größtenteils unter der Schädeldecke) ist jedoch verlegt. Für diese Form des Hydrocephalus gibt es keinen speziellen Begriff. Man könnte meinen, dass der Ausdruck externer Hydrocephalus richtig sein könnte, damit ist aber etwas anderes gemeint (siehe unten). Häufig wird bei dieser Abflußstörung des Liquors in den äußeren Liquorräumen fälschlicherweise der Begriff mal- oder aresorptiver Hydrocephalus verwendet. Dies ist aber nicht korrekt. Ein mal- oder aresorptiver Hydrocephalus hat seine Ursache in einer mangelhaften Funktion der Orte, wo der Liquor unter der Schädeldecke wieder in die Blutbahn zurückresorbiert wird. Typisches Beispiel für einen kommunizierenden Hydrocephalus ist der so genannte Normaldruckhydrocephalus (siehe unten). Aber gerade bei diesem Krankheitsbild bleibt es oft unklar, ob eine Abflußbehinderung in den äußeren Liquorräumen besteht oder eine mangelhafte Funktion der liquorresorbierenden Strukturen oder ob es sich gar um ein Mischbild aus beidem handelt.

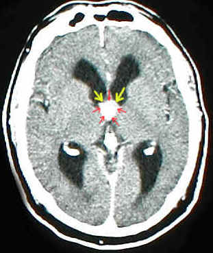
Das Bild zeigt einen Okklusionshydrocephalus: eine gutartige Geschwulst (Kolloidzyste) behindert den Liquorabfluß aus den Seitenventrikeln in den III.Ventrikel. Die roten Pfeile zeigen den Tumor, die gelben Pfeile deuten an, wo der Liquor eigentlich durchfließen sollte, nämlich durch die For. Monroi, die aber durch den Tumor verlegt sind.

 

Sekundärer versus ideopathischer Hydrocephalus

Ideopathisch wird alles in der Medizin genannt, wo man nicht weiß woher die Erkrankung kommt, man kennt also nicht den Auslöser des Hydrocephalus. Häufig gibt es dies beim Normaldruckhydrocephalus. Hier muß aber betont werden, dass es häufig Ereignisse vor vielen Jahren waren, die den Hydrocephalus auslösten, der Patient sich allerdings nicht mehr an diese erinnert, und so der Begriff ideopathisch entsteht.

Der sekundäre Hydrocephalus ist das genaue Gegenteil: hier kennt man den Auslöser des Hydrocephalus, wie z.B. eine Hirnblutung, eine Hirnhautentzündung und anderes. Aber Vorsicht: Bei einem Okklusionshydrocephalus durch Aquäduktstenose könnte man meinen, man kenne den Auslöser des Hydrocephalus, nämlich die Aquäduktstenose. Das ist aber hier dann nicht gemeint, sondern mit dem Begriff Aquäduktstenose gibt man nur den Ort der Liquorzirkulationsstörung an, nicht aber die Grunderkrankung. Es gibt also auch die ideopathische Aquäduktstenose

 

Akuter versus chronischer Hydrocephalus

Endlich mal was, wo eine gewisse Einigkeit unter den Medizinern besteht. Unter chronischem Hydrocephalus versteht man alle Formen des Hydrocephalus dessen Symptome oder dessen Auslöser (z.B. Hirnblutung) mehr als 3 - 6 Monate zurückliegt. Alle kürzer bestehenden Hydrocephali werden als akut bezeichnet.

 

Einteilung gemäß Hirndruck

Hier geht es wieder völlig drüber und drunter: Es gibt folgende Ausdrucke:

High-pressure Hydrocephalus / Hochdruckhydrocephalus

Low-pressure Hydrocephalus / Niederdruckhydrocephalus

Normaldruckhydrocephalus (normal pressure hydrocephalus / NPH)

ultra-low pressure Hydrocephalus

sub-zero Hydrocephalus

Hier sollte man meinen, dass es hier doch einfach an Hand von den Hirndruckmesswerten möglich sein sollte diese einzelnen Formen des Hydrocephalus zuzuordnen. Aber denkste: In einer international besetzten Kommission, die die Therapierichtlinien für den Normaldruckhydrocephalus und der auch ich angehöre, war ich erstaunt, dass man bei 15 Experten sehr unterschiedliche Angaben dazu findet was denn der normale Hirndruck ist: Werte zwischen 12 - 20 mm Hg wurden als obere Grenze des Normalen angegeben. Das heißt andererseits, dass ein Experte einen Patienten mit einem Hirndruck von 15 mm Hg noch zu dem Kreis des Normaldruckhydrocephalus zählen würde, während der zweite Experte es bereits als Hochdruckhydrocephalus bezeichnet.

... und dann der Begriff: Normaldruckhydrocephalus: wie bitte soll man bei normalem Hirndruck denn einen Hydrocephalus bekommen ? Nun hier konnten wir uns in der Expertenrunde wenigstens einigen: Wir wissen heute, dass man den so genannten Normaldruckhydrocephalus eigentlich als intermittierenden Hochdruckhydrocephalus bezeichnen müßte, da bei diesen Patienten Phasen mit normalem Hirndruck von Phasen mit erhöhtem Hirndruck abgelöst werden. 1963 als S.Hakim das Krankheitsbild beschrieb, gab es noch keine Möglichkeiten der mehrtägigen Hirndruckmessung und er ermittelte damals den Hirndruck mittels Lumbalpunktion und maß stets "normale" Liquordruckwerte. Daher gab er dem Krankheitsbild den Namen Normaldruckhydrocephalus. Trotz dass wir es heute besser wissen, wurde die Bezeichnung aus historischen Gründen beibehalten.

Low- und ultra-low - pressure Hydrocephalus sind ganz unscharf definiert. Um überhaupt die Begriffe zu verstehen, muß ein bißchen Physik bemüht werden: Je weiter die Ventrikel sind, desto größer ist bei gleichem Liquordruck die Wandspannung der Ventrikelwände (für die Physiker: La Place'sches Gesetz). Man geht nun davon aus, dass für die Hirnfunktion beim Hydrocephalus nicht nur der absolut gemessene Druck im Ventrikel bestimmend ist, sondern auch die Wandspannung der Ventrikelwände. Das heißt andererseits, dass der intraventrikuläre Druck umso niedriger sein muß, je größer die Ventrikel sind, um die gleiche Wandspannung vorzufinden. Entsprechend muß der Öffnungsdruck eines Ventils niedriger gewählt werden, je ausgeprägter der Hydrocephalus ist. Die Extremform des ultra-low pressure Hydrocephalus ist sicher der sub-zero Hydrocephalus. Dies soll eine Hydrocephalusform sein, bei der der intraventrikuläre Druck über ca. 2 - 3 Wochen auf ein Druckniveau unter Atmosphärendruck abgesenkt werden muß, um gute klinische Resultate zu erzielen.

Meines Erachtens nach sollte man auf die drei letztgenannten Bezeichnungen möglichst zu verzichten, da sie zu unscharf definiert sind. Sinnvoll kann man die Abgrenzung des Hochdruckhydrocephalus von allen Nicht-Hochdruckhydrocephalusformen ansehen

 

Genug Verwirrung ? Offengestanden, das war nur eine Top-ten aller in der Literatur herumgeisternden Begriffe. Im folgenden will ich noch auf einige häufig genutzte Bezeichnungen eingehen, die zumindest von den meisten Experten akzeptiert werden.

 

 

 

 

Normaldruckhydrocephalus (NPH)

1963 erstmals von Salomon Hakim beschrieben. Gemeint ist eine Hydrocephaluserkrankung, die charakteristischerweise mehr als eines der folgenden drei Symptome (auch Hakim-Trias genannt) aufweist:

Gangstörung

Inkontinenz

Demenz

Man unterscheidet heute den sekundären NPH (SNPH). Erkommt nach verschiedensten Hirnerkrankungen vor wie:

Schädel-Hirn-Trauma

Hirnblutung / Subarachnoidalblutung

Hirnhautentzündung

Die Prognose hinsichtlich des Ansprechens auf eine operative Therapie des SNPH gilt als besser als die des so genannten ideopathischen NPH (INPH)

Der INPH stellt den eigentlichen Symptomenkomplex dar, der von Hakim 1963 gemeint wurde. Nochmals: obwohl das Wort es impliziert: Der Hirndruck ist bei dieser Form des Hydrocephalus nicht normal sondern phasenweise erhöht. INPH oder NPH überhaupt ist also nichts weiteres als eine Beschreibung des Zusammentreffens bestimmter klinischer Symptome und der Nachweis erweiterter Ventrikel und sagt nichts über den tatsächlichen Hirndruck aus. Der NPH gilt allgemein als kommunizierender Hydrocephalus, ob er allerdings durch eine Malresorption des Liquors alleine oder durch Passagestörungen des Liquors in den äußeren Liquorräumen bedingt ist, ist meist nicht zu klären.

Symptomatik

Der INPH ist ein äußerst interessantes Krankheitsbild. Es handelt sich typischerweise um eine Erkrankung älterer Menschen zwischen den 50 - 80 Lebensjahr. Typischerweise sollte das Krankheitsbild mit Gangstörungen beginnen, erst später sollen Inkontinenz und Demenz folgen. Klassischerweise sollte das Krankheitsbild von der Gangstörung dominiert sein. Was heißt das? Nun die Gangstörungen sollten sehr ausgeprägt sein, während die anderen beiden Symptome eher milde ausgeprägt sein sollten. Das wäre nun typisch. In der Realität sieht man aber auch anderes, nämlich, dass die Demenz das Krankheitsbild bestimmt und auch als Erstsymptom auftrat. Es läßt sich in solchen Fällen am ehesten sagen, dass das Vorliegen eines INPH unwahrscheinlicher ist, auszuschließen ist das Krankheitsbild allerdings nur durch zusätzliche Untersuchungen. Hier ist vor allem die Hirndruckmessung und der Infusionstest hervorzuheben. Neben den klassischen oben genannten Symptomen gibt es weitere klinische Symptome beim INPH, die aber weniger charakteristisch sind:

M. Parkinson ähnliche Befunde (Cave: eventuelle besteht hier eine chronische Aquäduktstenose, die als INPH verkannt wird; in diesen Fällen kann der Parkinson in der Tat durch den Hydrocephalus bedingt sein; beim INPH dagegen können Parkinson-ähnliche Symptome auch als Zweiterkrankung unabhängig vom Hydrocephalus auftreten),

psychiatrische Erkrankungen,

Anfallsleiden,

Kopfschmerzen (typischer eher für Hochdruck- und Okklusionshydrocephalus),

Apathie, vermehrte Müdigkeit,

unsystematischer Schwindel (Cave: der vom Innenohr bedingte Drehschwindel ist nicht damit gemeint; beim unsystematischen Schwindel hat der Patient eher das Gefühl auf Watte zu laufen, es ist somit eigentlich ein Frühsymptom der typischen Gangstörung des NPH: wichtige Differentialdiagnose ist gerade beim älteren Menschen die cerevicale Myelopathie, wenn derartige Schwindelbeschwerden geschildert werden),

Ohrgräusche und dumpfes Gefühl im Ohr.

 

 

Auf die klassischen Symptome (Hakim Trias) muß noch näher eingegangen werden:

Es wurde bereits gesagt, dass der unsystematische Schwindel oft nichts anderes als eine beginnende Gangstörung ist. Bei der Inkontinenz finden sich alle Spielarten: von kompletter Harn- und Stuhlinkontinenz bis hin zu dem Gefühl, dass man einem bestehenden Harndrang unmittelbar nachgehen muß, um die Kontrolle über die Blase zu behalten.

Besonders interessant wird es bei der Demenz, da beim INPH oft von der

"heilbaren Demenz" gesprochen wird.

Co-Morbidität

Aktuell ist in Diskussion, das in 10 - 15% aller Demenzfälle älterer Menschen ein INPH bestehen könnte und somit eine Therapie möglich wäre. Dies muß man sich nochmals genau vor Augen führen. Eine Demenz ist normalerweise eine nachlassende Hirnleistung an deren Ende die vollkommene Hilflosigkeit steht. Wer kennt heute als klassischen Vertreter demenzieller Erkrankungen nicht auch das Schlagwort "M.Alzheimer".  .... und nun gibt es da eine Form der heilbaren Demenz, eigentlich eine tolle Vorstellung !! Man kann an diesem Punkt nur deutlich hervorheben: nicht jede Demenz entspricht einem M.Alzheimer oder ist eine normale Alterserscheinung. Möglicherweise kann man hier helfen. Aus diesem Grund sollte man in allen Zweifelsfällen eine Computertomographie machen und diese mit einem Neurochirurgen besprechen. Vielleicht ......

Ein weiterer höchst interessanter Punkt ist, dass es offensichtlich beim Krankheitsbild INPH Überschneidungen mit anderen Krankheitsbildern gibt. Oft bestehen nebeneinander ein INPH und ein M.Alzheimer oder ein INPH und eine Hirndurchblutungserkrankung (vaskuläre Enzephalopathie, M.Binswanger) oder aber ein INPH und ein M.Parkinson. .... und natürlich auch der ganz normale altersbedingte Hirnabbau.

Das tückische daran: all diese verschiedenen Erkrankungen können am Ende zu den gleichen klinischen Erscheinungsbildern führen. Es ist also vom reinen klinischen Erscheinungsbild äußerst schwer einen INPH von anderen systemischen Hirnabbauerkrankungen abzugrenzen. Hier sind unbedingt Zusatzuntersuchungen notwendig. ..... und noch etwas: selbst, wenn neben dem INPH eine weitere Hirnerkrankung vorliegt, können die Patienten von einer Shuntoperation profitieren. Dies gilt insbesondere auch für das zusätzliche Vorliegen eines M.Alzheimers. Unlängst wurde sogar postuliert, dass man durch die Shuntimplantation sogar möglicherweise den M.Alzheimer bessern kann. Als Hypothese wird hier postuliert, dass durch den Shunt schädliche Stoffwechselprodukte im Liquor, die beim M.Alzheimer eine Rolle spielen aus dem Hirn geschafft werden. Das sind erst erste Studienergebnisse, aber dennoch: alleine die Vorstellung eine effektive Therapie des M.Alzheimers zu haben. Sobald hier mehr bekannt ist, werde ich an dieser Stelle darüber berichten.

Muß denn ein INPH überhaupt behandelt werden ? / Prognose

Ganz klares ja. Der INPH ist eine langsam progrediente Hirnerkrankung. Unbehandelt nimmt immer mehr Hirn irreversiblen Schaden. Dies kommt auch in den klinischen Ergebnissen zum Tragen: Wird ein INPH früh erkannt, so besteht eine Wahrscheinlichkeit von 75 - 80% noch eine Verbesserung des klinischen Zustandes zu erzielen sein. Bestehen die Symptome dagegen über Jahre, so ist schon derart viel Hirngewebe unwiderruflich zerstört, dass nur noch jeder 2. Patient eine Verbesserung seiner klinischen Symptome nach Therapie erfährt. ..... und die anderen 50%, sind die völlig unnötig operiert worden ? Nein, aus dem oben gesagten ergibt sich, dass durch die Shuntoperation ein Fortschreiten des Hirnabbaus durch den Hydrocephalus unterbunden wird. Die OP ist also eine Investition in die Zukunft und keinesfalls sinnlos gewesen. Denn unbehandelt endet auch ein INPH nach Jahren im Zustand der völligen Pflegebedürftigkeit !!!! Andererseits: ein INPH ist per se keine lebensbedrohliche Erkrankung. Aber, wenn ein älterer Mensch einmal über Wochen im Bett liegt, da er wegen des INPH nicht mehr gehen kann, dann stellen sich häufig schnell zusätzlich Erkrankungen ein, die dann sehr wohl bedrohlich sein könnenZur Prognose ist noch etwas zu sagen: Besteht neben dem INPH noch eine zusätzlich das Hirn schädigende Erkrankung z.B. eine vaskuläre Enzephalopathie, so wird natürlich nur die Zerstörung des Hirns durch den Hydrocephalus gestoppt, nicht aber die von der Zusatzerkrankung ausgehende. Aber auch in diesen Fällen war die OP nicht sinnlos, denn es ist allemal besser, wenn nur noch eine statt zwei Erkrankungen das Hirn angreifet.

  Was ist eigentlich eine Demenz ?

Als Demenz bezeichnet man Syptome, die auf eine nachlassende Hirnleistung hindeuten. Dies beginnt mit kaum merkbarer Vergesslichkeit und Konzentrationsstörung und kann dann alle Zwischenstadien bis hin zur völligen Hilflosigkeit und Pflegebedürftigkeit annehmen. In diesen Endzuständen können die Patienten weder Ihren Namen nennen oder Auskunft über Ort und Zeit geben, geschweige denn andere vermeintlich simple Hirnleistungen erbringen. Drastisch gesagt muß man von einer völligen Verblödung sprechen. Betrachtet man bei diesen Patienten das Gehirn, so sieht man typischerweise, das das Hirnvolumen meist mehr oder weniger abgenommen hat. Man spricht von einem Hirnabbau oder einer Hirnatrophie. In der Medizin kennt man über 20 verschiedene Krankheitsbilder und Ursachen, die zu solch einem Hirnabbau führen können. Die bekanntesten sind M. Alzheimer, Creutzfeld-Jakob Erkrankung, Hirndurchblutungsstörungen (M.Binswanger, vaskuläre Enzephalopathie). Die allermeisten dieser zur Demenz führenden Erkrankungen sind unheil, man kann heute bestenfalls das Fortschreiten etwas verlangsamen. Die einzige Ausnahme stellt hier der NPH dar. Hier existiert mit der Shuntoperation eine sehr effektive Behandlungsoption, um das Fortschreiten der Erkrankung zu stoppen und sogar die klinischen Symptome zu bessern.

Dies kann nur eines heißen: Bei allen Demenzen sollte der INPH ausgeschlossen werden, denn 10 - 15% der dementen Patienten sind zu therapieren

 

Alternativen zum Shunt beim NPH ?

..... nicht wirklich. Der Shunt ist die Standardtherapie des NPH. Es existieren zwar Berichte über einzelne Fälle, bei denen durch die Ventrikulozisternostomie (siehe Therapie-Endoskopie) ein NPH erfolgreich behandelt wurde, die Erfahrungen hiermit sind aber mehr als begrenzt und viele Fragen offen, wie z.B.: war es überhaupt ein NPH (kommunizierender Hydrocephalus) oder aber eine chronische Aquäduktstenose, und und und ....

Als Erklärung, warum eine Ventrikulozisternostomie funktionieren kann auch wenn definitiv ein kommunizierender Hydrocephalus in Form eines NPH vorliegt, wird angegeben, dass man beim NPH nie weiß, ob die Liquorflußbehinderung in den äußeren Liquorräumen insbes. der hinteren Schädelgrube zu suchen ist (in diesem Fall funktioniert's) oder aber der Liquorstau durch eine mangelnde Funktion der der Resorption des Liquors dienenden Paccionischen Granulationen liegt (dann funktioniert's nicht). Dies nun auseinander zu dividieren, sprich den Ort der Liquorzirkulationsstörung dingfest zu machen, soll durch die Durchführung eines intraventrikulären und eines lumbalen Infusionstests (siehe Diagnostik) möglich sein. Die Erfahrung mit dieser Technik des doppelten Infusionstests sind aber äußerst begrenzt, daher bin ich etwas sketisch. .... und dann ein INPH tritt oft bei älteren Menschen auf. Ich denke, dass hier bereits die Belastung durch einen Infusionstest mehr als genug ist.

Bezüglich der Vor- und Nachteile endoskopischer OP-Verfahren im Vergleich zum Shunt habe ich im Kapitel Therapie ausführlich Stellung bezogen (siehe dort). In jedem Fall halte ich die Ansicht "es primär einmal mit einer Ventrikulozisternostomie zu probieren und bei Nichterfolg sekundär einen Shunt zu implantieren" für eher bedenklich: Stichwort: ältere Menschen, noch eine Narkose mehr.

Bezüglich anderer Alternative verweise ich auch auf das entsprechende Kapitell unter Therapie.

 

Aquäduktstenose

Die Aquäduktstenose ist zweifellos ein Okklusionshydrocephalus. Hierbei ist die Passage des Liquors vom III. Ventrikel zum IV. Ventrikel behindert. Der Verbindungskanal zwischen diesen Ventrikeln heißt Aquädukt. Er kann auf völlig unterschiedliche Weise verengt sein, wie die obige Abbildung zeigt. Die Ursachen sind vielfälltig: In 10% d.F. handelt es sich um eine genetisch vererbte Erkrankung. Hierbei fällt nur der normal 0,75 mm durchmessende Aquädukt enger aus als normal. Zu bedenken ist auch, dass dieses Krankheitsbild dann auf die Kinder des Betroffenen übergehen kann. Daneben können Hirnhautentzündungen, Hirnblutungen u.a. eine Aquäduktstenose verursachen. Besonders wichtig: Manchmal sind es Tumore, die den Aquädukt zupressen. Diese können manchmal primär so winzig sein, dass sie zwar die Aquäduktstenose verursachen, aber bestenfalls mit Mühe in sehr guten Kernspinuntersuchungen mit Kontrastmittel entdeckt werden. Patienten mit Aquäduktstenosen sollten auch nach Therapie des Hydrocephalus daher engmaschig nachuntersucht werden, damit ein wachsender Tumor nicht übersehen wird.

Bei Aquäduktstenosen kann der Hirndruck sehr variieren zwischen Befunden wie beim NPH (intermittierend erhöht) bis hin zu z.T. bedrohlich permanent hohen Hirndruckwerten.

Entsprechend kann das klinische Bild auch sehr unterschiedlich ausfallen:

bei intermittierender Druckerhöhung Symptome wie beim NPH, darüberhinaus aber auch Zeichen der akuten Hirndrucksteigerung: Kopfschmerz, Übelkeit, Erbrechen, Sehstörungen, Krampfanfälle, Veränderung der Bewußtseinslage.

Das Ausmaß der Hirndrucksteigerung wird dadurch bestimmt, wie rasch sich das Krankheitsbild einstellte. Bei Tumoren kann dies sehr plötzlich sein, sonst eher langsam.

Therapie / Prognose

Aquäduktstenosen können sowohl mittels Shunt, wie auch mittels endoskopischer Ventrikulozisternostomie behandelt werden. In Ausnahmefällen ist die Torkildsendrainage angezeigt.

Allgemein gilt, dass Aquäduktstenosen z.T. in der Therapie mit Shunt delikat sein können. Daher ist es bei diesen Erkrankungen oft sinnvoll ein einstellbares Ventil mit Schwerkraftventil zu verwenden, wenn ein Shunt implantiert werden muß, weil z.B. eine zusätzliche Malresorption des Liquors besteht (siehe Therapie-Endoskopie).

Die Prognose der Aquäduktstenose ist, abgesehen von Fällen, die durch einen Tumor verursacht werden als sehr günstig anzusehen. Aber auch ein Tumor muß nicht unbedingt gefährlich sein: Es gibt z.T. sehr gutartige Tumore, die oft überhaupt keinen Einfluß auf die Lebenserwartung haben, die eine Aquäduktstenose verursachen können

 

Die Abbildung zeigt eine Aquäduktstenose im oberen Drittel des Aquädukts (rote Pfeile), sowie eine Dandy-Walker-Variante (blauer Pfeil).

 

Aquäduktstenose und Morbus Parkinson

Eine hochinteressante Geschichte: Am Eingang in den Aquädukt ist im oberen Mittelhirn die Hirnstruktur gelegen, die den Hirnbotenstoff Dopamin produziert, der beim M.Parkinson fehlt. Besteht nun eine Aquäduktstenose im unteren Drittel des Aquädukts, so ist das obere Drittel des Aquädukts meist deutlich aufgeweitet. In einigen Fällen (v.a. beim Sylvian Aqueduct Syndrom: siehe unten) kann dabei die auch das Dopamin-produzierende Areal im Mittelhirn beeinträchtigt werden und zu wenig von diesem Botenstoff produzieren. Es entstehen dann Symptome wie beim M.Parkinson. Man spricht korrekterweise aber von einem Parkinsonoid. Dieser Zusammenhang ist so noch nicht lange bekannt, daher sind die Erfahrungen auch begrenzt. Es deutet sich aber folgendes Bild an: Häufig wird die Aquäduktstenose als Ursache der Parkinson Symptome übersehen und nur die Symptome des M.Parkinson therapiert. Gelangt der Patient dann doch nach längerer Zeit zur Therapie des Hydrocephalus in die Neurochirurgie, so ist es meist zu spät. Bestehen die Symptome erst wenige Wochen, so kann das Parkinsonoid durch Therapie des Hydrocephalus beseitigt werden. Nach einer kritischen Zeitdauer, die bisher aber noch nicht klar in Zahlen angegeben werden kann, scheint dagegen ein irreversibler Schaden an diesem Zentrum im Mittelhirn entstanden zu sein. Auch bei suffizienter Therapie des Hydrocephalus ist dann keine Verbesserung der Parkinson Symptome mehr zu erwarten. In diesem Stadium muß dann das Krankheitsbild wie ein M.Parkinson behandelt werden. Dennoch ..... auch dann ist noch die Therapie des Hydrocephalus nötig, um einen weiteren Hirnabbau zu verhindern.

 

 

 

 

LOVA = L-ong standing O-vert V-entriculomegaly in A-dults

Ein Krankheitsbild, das erst im Jahre 2000 erstmals offiziell in der medizinischen Literatur eingeführt wurde. Dafür ist es aber klinisch umso bedeutender. Die Charakteristika sind, dass die Patienten eindeutige Zeichen haben, dass sie bereits als Kind einen Hydrocephalus hatten aber bis ins Erwachsenenalter symptomlos blieben. Warum dies so ist, ist bis dato unklar. Die Zeichen, dass die Patienten bereits in der Kindheit einen Hydrocephalus hatten, können verschiedene sein: Viele Patienten haben einen deutlich vergrößerten Kopfumfang (Makrocephalus). Aus diesem Grund ließ ich mich unlängst dazu hinreißen zu sagen, dass das Krankheitsbild ohne CT oder MRI alleine mit einem Maßband gestellt werden kann. Andere Anzeichen können Veränderungen an der Schädelbasis sein, die man beim Röntgen erkennt und die ihre Ursache in einem lange bestehenden Hirndruck haben.

Der LOVA ist i.d.R. ein Okklusionshydrocephalus, meist liegt eine Aquäduktstenose vor. Der Hirndruck ist meist mäßig bis deutlich erhöht.

T2-gewichtetes Kernspinbild bei LOVA: alles was weiß ist ist Seitenventrikel im Großhirn, die hell- und dunkelgrauen Strukturen sind das verbliebene Gehirn, es ist insbesondere im Hinterhauptsbereich nicht mehr dicker als 5 mm. Dennoch: Die Patientin kann nach Therapie jetzt ein völlig normales Leben führen und ist voll berufstätig nachdem sie ihr Abitur geschafft hatte (Motto: die absolute Masse macht's nicht unbedingt, sondern das was man daraus macht)

Das Krankheitsbild hat mehrere Besonderheit:

 

Diskrepanz zwischen klinischem Bild und den Computer- oder Kernspintomographien

Betrachtet man die CT / MR alleine, so meint man, man mußte einen Patienten, der mehr oder weniger pflegebedürftig ist, vorfinden. Das genaue Gegenteil ist der Fall: Die Patienten haben oft nur sehr milde klinische Symptome wie Kopfweh, seltener Sehstörungen oder klinische Zeichen wie beim NPH. Die gering ausgeprägten Symptome führen oft dazu, dass die Diagnose über Jahre nicht gestellt wird. Extreme Fälle sind Patienten, die seit 10 Jahren unter Kopfschmerzen leiden und alles möglich an Diagnose "angehängt"  bekamen, bevor, trotz dass ein für jeden sichtbar deutlich vergrößerter Schädel bestand, die richtige Diagnose gestellt wurde. Überrascht ist man immer wieder, wie wahrlich riesig die Ventrikel bei diesen Patienten sieht: oft verbleibt nur ein Resthirnmantel von maximal 3 cm (normal 6 cm) über den Seitenventrikeln, in einigen Fällen bleibt aber nur ein Rest von 5 mm Hirn, ... und dennoch, diese Patienten sind klinisch oft garnicht oder minimal behindert. Dennoch gilt natürlich auch hier das beim NPH zur Notwendigkeit der Therapie gesagte. Ohne Therapie ist es nur eine Frage der Zeit, wenn deutlichere Ausfallserscheinungen eintreten

Therapie: äußerst delikat !!!!!

Die Tatsache, dass beim LOVA eine extreme Diskrepanz zwischen Schädelinnenvolumen und Hirnvolumen besteht, führt dazu, dass die Gefahr der Überdrainage bei Shuntanlage extrem hoch ist. Deswegen wurde von den Erstbeschreibern der Erkrankung die Ventrikulozisternostomie als Therapie der Wahl bezeichnet. Es ist aber nicht selten der Fall, dass eine endoskopische Ventrikulozisternostomie aus anatomischen Gründen nicht möglich ist, ..... und dann bleibt nur der Shunt.

.... und ich habe hier unter Verwendung von Schwerkraftventilen völlig andere Erfahrungen gemacht, wie sie von den Erstbeschreibern angegeben wurden. In meinem Kollektiv trat bisher (wohl bedingt durch die Art der Ventile) bisher kein einziger Fall von Überdrainage auf. Ich denke daher, dass die Therapieoption SCHWERKRAFT-Ventil und Ventrikulozisternostomie zumindest gleichberechtigt nebeneinander bestehen können.

 

Chiari- Malformation (Arnold Chiari-Syndrom)

Eine Veränderung die isoliert oder in Kombination mit anderen Mißbildungen vorkommen kann. Insbesondere sehr häufig bei offenem Rückenmark (Spina bifida / Meningomyelocele). Das charakteristische daran ist, dass die hintere Schädelgrube, in der normalerweise das Kleinhirn und das Stammhirn liegen quasi zu klein ist für diese Hirnanteile. Aus diesem Grund verlagern sich diese Hirnanteile nach unten in den oberen Rückenmarkskanal. Das Bild oben zeigt mit der blauen Linie das Niveau an auf dem die hintere Schädelgrube nach unten hin endet. Unschwer ist zu erkennen, dass Anteile des Kleinhirns (rot umrandet) und Anteile des Stammhirns (gelb umrandet) dieses Niveau deutlich unterschreiten. Zusätzlich besteht eine Aquäduktstenose (grüne Pfeile). Die Kombination von Chiari-Mißbildung und Aquäduktstenose ist gar nicht selten anzutreffen, denn durch die Enge in der hinteren Schädelgrube wird der obere Kleinhirnanteil auch häufig nach oben in Richtung des Großhirns verschoben. Da die anatomische Begrenzung der hinteren Schädelgrube zum Großhirn hin (das Tentorium) typischerweise auch häufig sehr schwach ausgebildet ist, wird diese Verlagerung des Kleinhirnes auch noch gefördert. Durch die Verlagerung von Kleinhirnanteilen nach oben wird das Mittelhirn gequetscht und in ihm liegt der Aquädukt, der dabei ebenfalls gequetscht wird.

Durch die Enge der hinteren Schädelgrube werden die Ausflußöffnungen des IV. Ventrikels, die die Verbindung von innneren und äußeren Liquorräumen darstellen so zusammengepreßt, dass der Liquor nicht mehr regelrecht aus dem Ventrikelsystem abfließen kann. Ein Okklusionshydrocephalus entsteht.

Patienten mit dieser Veränderung können auch zusätzlich noch eine Höhlenbildung im Rückenmark (Syringomyelie) bekommen. Daher sollte in diesen Fällen immer die gesamte Wirbelsäule mit untersucht werden.

Außerdem kann diese Veränderung zu chronischen Nackenschmerzen führen. Das Kleinhirn ist nämlich so stark im Hinterhauptsloch eingequetscht, dass es dort zur ständigen Reizung der Hirnhaut kommen kann, was sich dann als Schmerzsyndrom im Nacken bemerkbar macht. Durch diese Beschwerden kommt es nicht selten auch zu einer chronischen Fehlhaltung des Kopfes und der Halswirbelsäule, was dann im späteren Lebensabschnitt zu zusätzlichen Beschwerden führt. Manchmal, wenn die Fehlbildung einseitig ausgeprägt ist kann ein Schiefhalten des Kopfes charakteristisch sein.

Neben den klinischen Folgen durch den Hydrocephalus kann es auch noch zu Zeichen der Fehlfunktion von Klein- und Stammhirn kommen. Bei Säuglingen kann dabei sogar das Atemzentrum oder der Schluckreflex gestört sein

Meist ist diese Veränderung angeboren. In wenigen Ausnahmen kann sie aber auch im Laufe des Lebens sekundär entstehen.

Je nachdem wie ausgeprägt die Veränderung ist spricht man von einer Chiari-Malformation Typ 0 bis Typ 4.

Therapeutisch muß bei vorhandenem Hydrocephalus zunächst dieser behandelt werden. Sekundär muß dann gegebenenfalls noch eine Operation an der hinteren Schädelgrube erfolgen. Operativ wird dabei das korrigiert, was durch die Anlagestörung fehlentwickelt ist. Die hintere Schädelgrube wird knöchern dekomprimiert und teilweise auch die harte Hirnhaut erweitert (wie mit der harten Hirnhaut zu verfahren ist, darüber streiten sich zum Teil noch die Geister).

 

 

Dandy-Walker-Malformation

Die MRI im Abschnitt "Aquäduktstenose" zeigt zusätzlich eine Dandy-Walker-Malformations Variante. Bei der eigentlich Dandy-Walker Malformation muß eigentlich die hintere Schädelgrube übernormal groß sein.

Es handelt sich dabei um eine Veränderung in der hinteren Schädelgrube, die durch folgende Merkmale charakterisiert ist: Der mittlere Teil des Kleinhirns (Kleinhirnwurm) ist unvollständig angelegt (Dysgenesie), dadurch kann sich der IV. Ventrikel in diesen Bereich, wo der Kleinhirnwurm fehlt, ausdehnen. Er ist quasi zystenartig ausgezogen. Hinzu kommt, dass zumindest eine der 3 Öffnungen des IV. Ventrikel, die den Liquor in die äußeren Liquorräume passieren lassen, verschlossen ist. Meist ist das so genannte For. Magendii betroffen, seltener die For. Luschkae. Somit entwickelt sich auch hieraus ein Okklusionshydrocephalus.

Es handelt sich um eine angeborene Fehlbildung. Häufig kommen dabei auch noch Hautveränderungen und Fehlbildungen am Herz-Kreislaufsystem dazu.

Neben den Symptomen des Okklusionshydrocephalus können auch klinische Zeichen der Kleinhirnschädigung auftreten.

Abzugrenzen hiervon sind Arachnoidalzysten der hinteren Schädelgrube. Auf den ersten Blick kann das Bild sehr ähnlich aussehen, aber charakteristischerweise besteht im Gegensatz zum Dandy-Walker Syndrom keine breite Verbindung zwischen der zystischen Struktur und dem IV. Ventrikel und der IV. Ventrikel ist auch eher normalgroß oder gar verkleinert und verlagert, während er beim Dandy Walker Syndrom typischerweise sehr groß sein sollte. Bei Arachnoidalzysten ist der Kleinhirnwurm typischerweise normal angelegt.

Als Dandy-Walker Variante bezeichnet man Veränderungen, die alle Charakteristika des Dandy-Walker Syndroms haben, nur dass ihnen die zum Syndrom gehörende Vergrößerung der hinteren Schädelgrube fehlt.

 

Mittellinienzysten (Septum pellucidum und Cavum vergae Zysten)

 

Ebenfalls angeborene Veränderung, teilweise isoliert, teilweise in Kombination mit vielen anderen anlagebedingten Veränderungen. Diese Zysten liegen typischerweise zwischen den beiden Großhirnhälften unterhalb des so genannten Balkens, der beide Hirnhälften miteinander verbindet. Sie liegen demzufolge in einer Ebene mit den Seitenventrikeln des Großhirns und über dem III. Ventrikel, der sich im Zwischenhirn befindet. Diese Zysten sind meist harmlos. Die meisten sind klein und werden bestenfalls zufällig entdeckt. Eine Tendenz zur Vergrößerung ist selten zu beobachten. In wenigen Fällen jedoch können diese Zysten so groß werden, dass sie die Verbindungsöffnungen zwischen den Seitenventrikeln und dem III. Ventrikel, - die For. Monroi -, verlegen. Noch seltener führt die Druckwirkung zu einer sekundären Aquäduktstenose. In beiden Fällen entsteht ein Okklusionshydrocephalus.

Therapiert werden müssen nur die Zysten die zu klinischen Beschwerden führen. Meist genügt es diese Zysten auf endoskopischem Weg zum Seitenventrikel hin zu fenstern. Ein Shunt ist nur in Ausnahmefällen notwendig.

 

Sonderformen

Arrested Hydrocephalus / "Ausgebrannter" Hydrocephalus

Ein umstrittener Begriff. Die Zahl derer, die sagen, dass es diesen Zustand überhaupt nicht gibt, ist wahrscheinlich genau so groß, wie die Zahl derer, die meinen, das eine Vielzahl von Patienten mit Hydrocephalus hierzu zählen würden. Was ist gemeint ?

Es wurde die Beobachtung gemacht, dass bei Patienten mit Hydrocephalus, die mit einem Shunt versorgt waren, ein sicheres Shuntversagen vorlag (z.B. das der Shunt diskonnektiert ist). Man würde also erwarten, dass sich das Shuntversagen im klinischen Bild des Patienten niederschlagen muß. Aber .... die Patienten waren mehr oder weniger beschwerdefrei. Also ging man davon aus, dass ihr Hydrocephalus nicht mehr aktiv ist, also nicht mehr zu klinischen Beschwerden und zu Veränderungen am Gehirn führt.

Das mag für einige der Patienten tatsächlich eine Zeit lang auch der Fall sein. Man weiß heute, dass der Körper tatsächlich in der Lage ist, zumindest vorübergehend alternative Liquorabflußwege zu finden.

Fakt ist aber auch, dass diese alternativen Liquorabflusswege offensichtlich nur eine Zeit lang gut funktionieren, nach einer beschwerdenfreien Zeit von Monaten oder Jahren kehren oft plötzlich die Symptome des Hydrocephalus zurück. Er ist offensichtlich wieder aktiv und nicht mehr "arrested" oder "ausgebrannt".

Bei einer Untersuchung des Hirndrucks bei Patienten mit vermeintlichem arrested oder ausgebrannten Hydrocephalus fand man, das die Mehrzahl einen krankhaft erhöhten Hirndruck aufwies, obwohl sich die Patienten subjektiv unbeeinträchtigt fühlten. Die Überraschung kam, als man dann bei diesen Patienten den Shunt erneuerte. Alle erfuhren eine Verbessung ihres klinischen Zustandes. Die klinische Verschlechterung war offensichtlich so langsam bei den Patienten eingetreten, dass sie sie nicht wahrnahmen.

Was heißt das nun für die Praxis ?

Bei jedem offensichtlichen Shuntversagen, auch wenn die Patienten beschwerdefrei sind, den Shunt erneuern ? Leider kann man hierzu keine einheitliche Aussage machen. Oben genannte Untersuchungsergebnisse legen dies in einem gewissen Sinne nahe. Die Gegner dieses Vorgehens argumentieren jedoch, dass es doch einen gewissen Prozentsatz an Patienten gäbe, der irgendwann tatsächlich auch auf Dauer ohne Shunt auskommen würde (die Schätzungen, wie hoch dieser Prozentsatz ist gehen jedoch weit auseinander). Genau diesen Patienten aber würde man bei einem voreiligen Erneuern des Shunts die Chance nehmen, shuntunabhängig zu werden. Auch dieses Argument ist nicht von der Hand zu weisen. Die Diskussion ist hier immer noch offen und fast jede Klinik hat "ihre" eigene Politik.

Gefühlsmäßig und gemäß meiner Erfahrungen in der täglichen Praxis würde ich jedoch sagen, dass die Mehrzahl der vermeintlichen ausgebrannten Hydrocephali früher oder später doch wieder einen Shunt oder eine andere Therapie des Hydrocephalus benötigen. Spricht man sich gegen eine Shuntrevision aus, muß der Patient darauf aufmerksam gemacht werden, dass zu jedem Zeitpunkt wieder Symptome des Hydrocephalus auftreten können und er sich dann rasch in die Behandlung eines Neurochirurgen begeben sollte. Im Zweifelsfall kann es hilfreich sein den Hirndruck zu messen, um eine Entscheidung für oder gegen die Shuntrevision zu treffen. 

 

 

Hydrocephalus ex vacuo

Ein Begriff der eigentlich veraltet ist. Für mich eine Contradictio in objecto. Was wird darunter verstanden ? Als Hydrocephalus ex vacuo wird eine Aufweitung der Ventrikel verstanden ohne dass ein Hydrocephalus vorliegt. Das heißt, die Liquorzirkulation ist nicht gestört. Warum dann aber die Aufweitung der Ventrikel ? Nun einfach deswegen, weil Hirngewebe aus anderen Gründen untergeht (Durchblutungsstörung, M.Alzheimer ect.), und der so entstehende Platz im Schädelinnern wird dann durch Liquor ersetzt. Korrekterweise würde man in solchen Fällen aber von einem Hirnabbau / Hirnatrophie sprechen und nicht von einem Hydrocephalus.

Nicht selten verbirgt sich hinter dem Begriff aber auch eine gewisse Unsicherheit, ob denn nun ein Hydrocephalus (meist NPH) oder eine Hirnatrophie vorliegt oder sogar eine Mischform aus beidem. Ich denke, man sollte diese Ungewissheit zum Ausdruck bringen und zum Anlaß für weitere Abklärung nehmen, statt sich hinter dem Begriff zu "verstecken". Mit einer Hirndruckmessung / Infusionstest /Spinal tap-Test kann man dann in der Regel eine klare Zuordnung treffen und das Krankheitsbild mit seinem korrekten Namen belegen.

 

Hydrocephalus externus

Noch so ein komischer Begriff: Ein Hydrocephalus ohne dass die Ventrikel weit sind oder nur minimal erweitert sind ? Ja so was ähnliches ist gemeint. Man bezeichnet mit dem Begriff Hydrocephalus externus bestimmte Befunde auf Computertomographien oder Kernspintomographien. Charakteristisch ist, dass die äußeren Hirnfurchen normalweit oder gar erweitert zur Darstellung kommen (beim "richtigen" Hydrocephalus genau umgekehrt). Dies ist normalerweise ein typisches Merkmal für einen Hirnabbau. Verschiedene Aspekte bewegen jedoch dazu doch einen möglicherweise existierenden Hydrocephalus nicht gänzlich auszuschließen. Es können zum Beispiel auch die Ventrikel erweitert sein, eventuell kann sogar ein Mißverhältniss zwischen der Weite der inneren und äußeren Liquorräume bestehen (was eigentlich typisch für einen Hydrocephalus wäre), oder aber der Schädel des betroffenen ist abnormal groß (Makrocephalus). Letzteres kann nur eintreten, wenn der Hirndruck zu Zeiten, da die Schädelnähte noch offen sind oder waren, erhöht ist.

Für mich ist dieser Begriff auch nur Ausdruck einer Verlegenheit. Man weiß nicht so recht, ob nun eine Hirnatrophie oder ein Hydrocephalus oder wieder mal ein Mischbild aus beidem vorliegt. Auch hier gilt das oben gesagte. Mit ein bißchen Diagnostik kann man die Sache klären und den Begriff durch die korrekte Bezeichnung der Erkrankung ersetzen.

Sylvian Aqueduct Syndrom

Alles andere als ein veralteter oder umstrittener Begriff. Leider aber vielfach noch unbekannt, da dieses Syndrom, - Gott sei Dank -, selten auftritt.

Es kann für den Patienten wie für den Arzt eine diagnostische und therapeutische Odysee sein.

Das Syndrom tritt typischerweise beim Okklusionshydrocephalus, - meist bei Aquäduktstenosen -, die mit Shunt versorgt sind auf.

Ein intermittierendes oder dauerhaftes Versagen des Shunts (oft im Rahmen einer Verstopfung des Ventrikelkatheters durch Überdrainage) ist der Ausgangspunkt. Es baut sich vor dem Aquädukt ein erhöhter Hirndruck auf. Der Aquädukt liegt exakt an der Grenze zwischen hinterer Schädelgrube und mittlerer und vorder Schädelgrube. Die hintere Schädelgrube ist vom übrigen Gehirn durch eine sehr rigide Membran (Tentorium) getrennt. Dadurch kann der Druck in der hinteren Schädelgrube völlig anders sein als im übrigen Gehirn.   ... und genau dies ist der Ausgangspunkt dieses Krankheitsbildes. Der Druck oberhalb des Aquädukts ist höher als der Druck in der hinteren Schädelgrube. Dieses Druckgefälle wirkt sich direkt auf das den Aquädukt umgebende Mittelhirn aus. Wasser lagert sich dort ein (im Kernspin zu sehen). Ein Funktionsstörung des Mittelhirns tritt ein. Dies kann zu dramatischen Folgen führen. Die Patienten können rasch bewußtlos werden, Hirnnervenstörungen (meist Bewegungsstörungen der Augen / Parinaud-Syndrom) können eintreten und die Produktionsstelle des Dopamins wird geschädigt, so dass eine dem M.Parkinson ähnlich Symptomatik auftritt. Darüberhinaus können weitere Ausfallerscheinungen des Zwischenhirns auftreten.

Das Syndrom ist durch mehrere Fakten sehr tückisch:

Die klinische Verschlechterung kann zum Teil innerhalb von wenigen Stunden eintreten und dabei akut lebensbedrohliche Ausmaße annehmen.

Besonders gefährlich ist aber vor allem, dass bei diesem Syndrom nicht wie sonst bei einem Shuntversagen, die Ventrikel, die vor dem Aquädukt liegen (also III. und IV. Ventrikel) aufgeweitet sein müssen. Sie können völlig normal weit oder sogar schlitzförmig verengt sein. Werden Bilder gemacht und stützt man sich bei der Diagnosestellung Shuntversagen nur auf den Befund "weite Ventrikel", so kann es leicht zu Fehldiagnosen kommen. Die Ventrikel scheinen wie starr zu sein. In Einzelfällen ist dies auch tatsächlich der Fall, wenn durch Narbenbildung um die Ventrikelwände (Gliose) diese tatsächlich so rigide sind, dass sie sich nicht mehr aufweiten. Mehrheitlich jedoch kann man diese vermeintliche Diskrepanz von hoher Hirndruck und normalweite oder gar Schlitzventrikel jedoch einfach mit ein bißchen Physik erklären. Gemäß LaPlace'sche Gesetz muß bei schlitzförmigen Ventrikeln der Hirndruck zunächst einmal extrem hoch werden, bevor sich die Ventrikel aufweiten, sind sie einmal ein bißchen aufgeweitet braucht es lange nicht mehr den Hirndruck um eine weitere Aufweitung der Ventrikel zu verursachen. Klingt schwierig ? .... kennen Sie aber aus dem Alltag: blasen Sie einen Luftballon auf, so ist dies am Anfang ziemlich schwer, hat er eine gewisse Größe erreicht, geht es dann leichter.  .... das ist das LaPlace'sche Gesetz im Alltag.

 

Therapie

Dreh- und Angelpunkt der Therapie muß es sein den Druckgradienten zwischen hinterer Schädelgrube und dem übrigen Gehirn zu beseitigen. Dies kann auf verschiedenen Weise geschehen: Beseitigung des Shuntversagens durch Shuntrevision; Ventrikulozisternostomie (Aquädukt wird umgangen und eine direkte Verbindung zwischen dem Liquorraum des III. Ventrikels und dem Liquorraum vor dem Stammhirn hergestellt und damit der Druckgradient beseitigt), falls Ventrikulozisternostomie aus anatomischen Gründen nicht möglich: Torkildsen Drainage

Es muß betont werden, dass es sich oft um absolute Notfallsituationen handelt, die keine Verzögerungen zulassen.

Bei erfolgreicher Therapie können sich die Bewußtseinsstörungen recht rasch zurückbilden, andere Symptome wie Doppelbilder und Parkinsonoid dagegen brauchen Wochen bis Monate zur Zurückbildung. Das Parkinsonoid kann durch vorübergehende Substitution von Dopamin deutlich gelindert werden.

Zügig therapiert hat das Sylvian Aqueduct Syndrom eine gute Prognose, beim Verkennen dagegen können lebensbedrohliche Zustandsbilder resultieren.

 

Isolierter Ventrikel

Einer der vier Ventrikel oder ein Teil eines Ventrikels steht nicht in Verbindung mit dem übrigen Ventrikelsystem. Dies kann durch Verklebungen nach Entzündungen, Zysten aber auch im Rahmen der Überdrainage durch Upward Herniation des Stammhirns mit Kompression des Aquädukts entstehen. Da fast an allen Punkten des Ventrikelsystems der so genannte Plexus choroideus, - die Produktionsstätte des Liquors -, zu finden ist wird in dem vom übrigen Ventrikelsystem abgeschotteten Ventrikel (- anteil) zwar Liquor produziert, aber er kann nicht abfließen. Er staut sich also in diesem Abschnitt des Ventrikelsystems und dieser Abschnitt kann dadurch erheblich aufgeweitet sein.

Was ist zu tun ?

Hier kann keine globale Aussage gemacht werden. Handlungsbedarf besteht jedoch in den allermeisten Fällen. Insbesondere gilt dies für isolierte IV.Ventrikel, auch wenn die Patienten asymptomatisch sind, da die Erfahrung zeigt, das sich hierbei sehr rasch dramatische Krankheitsbilder entwickeln können.

Handelt es sich um eine funktionelle Isolation eines Ventrikels im Rahmen einer Überdrainage, so kann es genügen durch Beseitigung der Überdrainage ( !!! Schwerkraftventile !!!) dieses Problem zu lösen.

Bestehen dagegen echte Septen und Membranen, die den Ventrikelabschnitt morphologisch vom übrigen Ventrikelsystem trennen, dann sind andere Verfahren notwendig. Oft ist es möglich durch eine endoskopische Fenestrierung der Septen die freie Kommunikation zum übrigen Ventrikelsystem wieder herzustellen. In anderen Fällen ist es notwendig einen Ventrikelschlauch in den isolierten Abschnitt des Ventrikelsystems einzubringen und einen zweiten in das übrige Ventrikelsystem einzuführen, damit ein Druckausgleich zwischen den Kompartimenten stattfindet. Wichtig: beide Ventrikelkatheter müssen vor dem Ventil zusammengeführt werden.

 

CAVE: Verwechslungsgefahr isolierter IV. Ventrikel und Dandy-Walker-Malformation