Endoskopische Verfahren
Startseite Allgemeines Historie Anatomie Physiologie Graduierung Diagnostik Therapie häufige Fragen News Autor Literatur

 

Startseite
nach oben

 

Endoskopische Therapie

 

Eines vorweg: Zweifellos ist die endoskopische Therapie eines Hydrocephalus eine sehr elegante Therapieoption, da man hiermit die Krankheit behandeln kann, ohne dass der Patient einen Shunt benötigt, der per se ja ein Dauerimplantat darstellt.  Es werden jedoch mehrere Fakten oft verschwiegen:

 

Komplikationen:

Die Wahrscheinlichkeit für das Auftreten schwerer Komplikationen bei der endoskopischen Hydrocephalustherapie liegt unter 1 %, aber sie ist dennoch vier mal höher als bei der Therapie desselben Hydrocephalus mittels Shunt.

 

Langzeiterfolge:

Auch bei korrekter Indikationsstellung scheint die Anzahl der Langzeiterfolge wesentlich geringer als mancher Orten suggeriert wird. In dem ersten Jahr nach Durchführung des Eingriffes profitieren (je nach Studie) zwischen 70 - 90% der Patienten. Über die Langzeiterfolge gibt es aber kaum Literatur. Eine in den letzten Jahren publizierte Untersuchung ergab allerdings, dass nach anfänglichem Erfolg immerhin 50% der Patienten, die sich einer endoskopischen Therapie unterzogen am Ende doch im Zeitraum von 5 Jahren ein Ventil benötigten.  Leider existieren bis dato noch keine durch größere klinische Studien abgesicherten Untersuchungsmöglichkeiten, die mit hoher Wahrscheinlichkeit voraussagen, ob ein Patient dauerhaft von einer endoskopischen Therapie profitiert. Hinweise deuten jedoch an, dass durch einen vergleichenden Infusionstest, der einerseits in dem Ventrikelsystem erfolgt und andererseits in den das Gehirn umgebenden Liquorräumen durchgeführt wird, hier eine bessere Unterscheidung möglich sein sollte, welche Patienten auf Dauer ohne Shunt auskommen und somit die endoskopische Therapie sinnvoll ist und welche Patienten über kurz oder lang doch einen Shunt benötigen und damit primär mit Shunt versorgt werden sollten, statt sie unnötig der Gefahr eines zusätzlichen Eingriffes in Form einer endoskopischen Operation auszusetzen.

Die Ursache des sekundären Versagens ist ebenfalls weitestgehend unklar. In erster Linie muß man annehmen, dass die Ursache des Hydrocephalus auf mehreren Dingen im Einzelfall beruhen kann. Einerseits nämlich auf einem Okklusionshydrocephalus (der gut endoskopisch zu therapieren ist) und andererseits auf einer zu geringen Rückresorption des Liquors in das venöse Blut (diese Form des Hydrocephalus ist nur mit Shunts suffizient zu therapieren). Sehr selten kann es auch vorkommen, dass das Loch, das man zur Umgehung eines Liquorpassagehindernisses mittels Endoskop schuf später im Rahmen der Narbenbildung wieder zuwächst.

Letztenendes bedeutet das für den Patienten, dass die heute z.T. übliche Vorgehensweise des unkritischen Einsatzes des Endokops bei allen Formen des Okklusionshydrocephalus und bei manchen Formen des kommunizierenden Hydrocephalus sicher überdacht werden muß. Unter der Voraussetzung, dass die anatomischen Gegebenheiten beim einzelnen Patienten ein endoskopisches Vorgehen erlauben, sollte der Patient die Wahl haben zwischen Shunt und endoskopischer Therapie.

 

Indikation:

Den Patienten wird heute teilweise suggeriert, dass man in der Hydrocephalustherapie weitgehend auf Shunts verzichten kann und in den meisten Fällen eine endoskopische Therapie als zu bevorzugende Methode angepriesen wird. Zweifellos ist es für den Patienten immer ein Vorteil, wenn ihm ein Dauerimplantat in Form eines Shunts erspart bleibt, aber es ist nichts gewonnen, wenn dadurch die effektive Therapie des Hydrocephalus dem Patienten versagt bleibt. Um eine endoskopische Therapie eine Hydrocephalus sinnvollerweise einsetzen zu können, müssen bestimmte Voraussetzungen gegeben sein. Idealerweise sollte der Patient einen Okklusionshydrocephalus haben (d.h. der Abfluß des Liquors ist im Bereich der inneren Liquorräume verstopft).

 

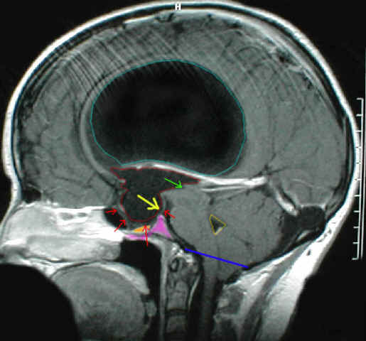
Die Abbildung zeigt einen Okklusionshydrocephalus, der mehrere Ursachen hat: einerseits besteht eine Aquäduktstenose. Der Eingang in den Aquädukt ist mit einem grünen Pfeil markiert. In diesem Kernspin ist der Aquädukt aber nicht sichtbar; entweder ist er völlig verschlossen oder so eng, dass er im MRI nicht einsehbar ist. Darüberhinaus hat der Patient eine so genannte Chiari Malformation; damit ist der Abfluß des Liquors aus dem (gelb umrandeten) IV. Ventrikel in die äußeren Liquorräume nicht möglich. ... soweit eigentlich ein idealer Kasus für eine endoskopische Therapie. ABER: Der Boden (rote Pfeile) des III. Ventrikels (mit roter Linie umrandet) ist so weit nach unten vorgewölbt in die so genannte Sella turcica (lila markiert), die knöcherne Lager der Hirnanhangdrüse (orange markiert) ist, dass die anatomischen Voraussetzungen für eine endoskopische Operation sehr kritisch sind. Dort, wo der gelbe Pfeil ist müßte man eigentlich das Loch in den Boden des III. Ventrikels machen. Es liegt jedoch direkt auf der Unterseite des Bodens des III. Ventrikels ein großes Blutgefäß, das auch nicht ausweichen könnte, da es sich direkt an den Hirnstamm anlehnt. Bei diesem Patienten ist demzufolge eine endoskopische Operation wegen der Begebenheiten am Boden des III. Ventrikels nicht oder nur mit erheblichen Risiken möglich. Die sichere Variante ist es hier einen Shunt als Therapie der Wahl anzusehen.

 

 

 

Die Abbildung zeigt als Schema alle bekannten Möglichkeiten auf endoskopischem Weg eine Aquäduktstenose zu therapieren: Mit dem Endoskop (gelb dargestellt) wird unter Ultraschall- und Neuronavigationssteuerung über den Seitenventrikel und das For.Monroi in den III. Ventrikel vorgegangen. Es gibt nun zwei verschiedene Möglichkeit der Therapie:

Ventrikulo-Zisternostomie ( = III. Ventrikulostomie):

Statt dass der Liquor wie normal vom III. Ventrikel über den Aquädukt in den IV. Ventrikel fließt, umgeht man das Hindernis, indem der Liquor von den inneren Liquorräumen (hellblau) durch ein künstlich geschaffenes Loch im Boden des III. Ventrikels direkt in die äußeren Liquorräume (dunkelblau) fließen kann. Hierzu wird unter endoskopischer Sicht ein bestimmter Ort am Boden des III. Ventrikels aufgesucht und dort ein Loch in diesen gemacht (grünes Instrument, Liquorfluß dann entsprechend des lila Pfeils). Um diese Operation durchzuführen, müssen verschiedene anatomische Voraussetzungen gegeben sein, die nur individuell beurteilt werden können. Die Ventrikulo-Zisternostomie kann als das Standardverfahren der endoskopischen Therapie der Aquäduktstenose angesehen werden.

 

Aquäduktoplastie:

Dieses Verfahren klingt auf den ersten Blick sehr logisch: Die Engstelle im Aquädukt wird mit einem (rot dargestellten) Instrument aufgedehnt und damit die Aquäduktstenose beseitigt. Dies ist aber nur möglich, wenn die Engstelle örtlich sehr umschrieben ist. Auch darf die Enge nicht so ausgeprägt sein, dass man sie nicht mit dem Instrument, das man zum Aufdehnen verwenden möchte, passieren kann. Bisher wird dieses Verfahren nur sehr selten angewandt. Die Erfahrungen damit sind also noch sehr begrenzt. Die bisherigen Erfahrungen lassen kaum eine kritische Wertung zu: bisher scheint es aber, dass die Komplikationsrate bei der Aquäduktoplastie höher zu sein scheint, als bei der klassischen III.Ventrikulostomie. Mit der Weiterentwicklung insbesondere flexibler Endoskope könnte dieses Verfahren in Zukunft möglicherweise an Bedeutung gewinnen.

 

 

Diese beiden Abbildungen zeigen einen Patienten mit Aquäduktstenose: links vor dem Eingriff und rechts nach endoskopischer Ventrikulozisternostomie. Hierzu wird ein Loch in den Boden des III. Ventrikels gemacht. Der rote Pfeil zeigt die Stelle, wo die Eröffnung des Bodens des III. Ventrikels angelegt wurde. Sehr schon ist zu sehen, dass vermeintlich ein "schwarzer Strich" durch den Boden des III. Ventrikels zieht. Hierbei handelt es sich um schnell fließenden Liquor. Man sieht daran, dass der Liquor wie gedacht die neu geschaffene Umgehung des Aquädukts nutzt, um aus den inneren Hirnwasserkammern in die äußeren Liquorräume zu gelangen. Damit ist das Hindernis, das den Hydrocephalus erzeugte, wirksam umgangen.

 

 

Endoskopische Ventrikulozisternostomie: OP-Bilder

eine bestimmte Stelle am Boden des III. Ventrikels muß gefunden werden, die sehr dünn ist und wo das Loch angelegt werden kann. In diesem Fall ist es ein dreieckiger Bereich, der membranös dünn ist (rote Pfeile).

Diese Stelle liegt exakt zwischen zwei wichtigen Hirnstrukturen: Einerseits den Corpora mamilaria (blaue Pfeile), die bestimmte Funktionen für unsere Gedächtnisfunktion haben, und andererseits einem Bereich der Recessus pinealis heißt (grüne Pfeile). Hier nimmt die Hirnanhangdrüse (Hypophyse) ihren Ausgang und es werden dort bestimmte Signalstoffe des Körpers (Hormone) produziert, die sehr wesentliche Funktionen haben.

Das Bild zeigt bestens, dass die für die Perforation des Bodens des III. Ventrikel geeignete Stelle sehr klein ist und am besten mittels Endoskop also unter direkter Sicht aufgesucht wird.

mit einem sehr dünnen Instrument wird erstmals an der ausgesuchten Stelle ein Loch gemacht. Das Instrument ist gerade einmal 1 mm dick.

das 1 mm große Loch ist nun deutlich knapp neben der Bildmitte zu sehen. Würde es so klein bleiben, wäre die Gefahr, dass es wieder zuwächst groß. Ein weiteres 1 mm großes Instrument (im Bild bei 11 Uhr, weiß) wird in dieses kleine Loch eingebracht. 

das neu eingeführte Instrument hat an seiner Spitze einen Doppelballon, der mit 0,75 ml Luft aufgeblasen wird. Das Bild zeigt den bereits etwas aufgeblasenen Ballon. Durch den Ballon hindurch sieht man das bereits geschaffene Loch, das jetzt mit dem Ballon vorsichtig weiter aufgedehnt wird.

nach mehrmaligem Aufblasen des Ballons ist das Loch auf eine Größe von 5 mm aufgedehnt. Jetzt sieht man deutlich durch das Loch hindurch. Da die Verbindung zu den äußeren Liquorräumen hin zur präpontinen Zisterne gemacht wird, ist das in der Tiefe sichtbare Gewebe der Pons, - ein Teil des Stammhirns.

Nun ist die Operation fast zu Ende. Mit dem gesamten Endoskop passiert man nun diese Eröffnung am Boden des III. Ventrikels und inspiziert die präpontine Zisterne, ob hier ggf. noch Verklebungen der Hirnhäute vorliegen, die den freien Abfluß des Liquors behindern könnten.